
广州信豚 朱志明
酵母是一类单细胞真核微生物的统称,酵母细胞宽约1-5μm,长约5-30μm,细胞形态因种而异,常见的有球形、卵形和圆筒形,某些酵母因种属或生长期差异,还呈现出高度特异性的细胞形状,如柠檬形或尖形等。截止到1998年,已描述的酵母菌达到95属,723种,目前荷兰微生物菌种保藏中心保藏的酵母菌有900种,而文献报道称不完全统计的酵母菌种类超过1500种,其中最常见的为酵母属(Saccharomyces),包括酿酒酵母(S.cerevisiae)和葡萄汁酵母(S.uvarum)等种类。

图1. 酿酒酵母菌扫描电镜和透射电镜照片(Masako O, 1998)
啤酒酵母属于酿酒酵母的不同品种,是啤酒生产上常用的发酵酵母,其细胞结构包括细胞壁、细胞膜、细胞核、一个或多个液泡、线粒体、核糖体、内质网、微体、微丝、内含物等,此外还有出芽痕和诞生痕(图1)。
啤酒酵母细胞含有丰富的营养物质,其中蛋白质含量可达酵母干物质含量的45-55%,且富含人体所必需的8种氨基酸。脂肪含量约为1-2%,而功能性多糖含量则高达40-50%。啤酒酵母中的维生素和矿物质含量十分丰富,富含硫胺素、核黄素、泛酸、胆碱、烟酰胺、生物素和叶酸等B族维生素,且多以磷酸酯形式存在,易被动物体吸收利用。啤酒酵母中还含有磷、铁、钙、钠、钾、镁、铜、锌、锰、钴、硒和铬等众多的微量元素,在调节动物体生理机能方面发挥重要作用。
此外,啤酒酵母作为优良的发酵菌种,其细胞内还具有发达的酶系统和丰富的生理活性物质,能够分泌产生蔗糖酶、麦芽糖酶、乳糖酶、蛋白酶、脂肪酶、磷酸酶、脱羧酶、脱氢酶、氧化还原酶等等丰富的生物酶,以及辅酶A、辅酶Q、辅酶I、细胞色素C、凝血质、谷胱甘肽等生理活性物质,目前利用废啤酒酵母提取具有生物活性的功能物质也已逐渐成为研究的热点。
1、酵母深加工产品简介
20世纪70年代,我国曾集中进行饲料酵母的开发,但因技术制约、资源受限和成本过高而中断。20世纪末期,随着啤酒产量日趋扩大,我国在利用啤酒副产物生产饲料酵母方面也积累了很多宝贵经验,并逐渐形成规模生产。但是直到最近10年,啤酒酵母作为营养丰富、无毒、无残留和无抗药性的饲料添加剂(原料),其在饲用方面的价值才引起广泛关注,国内饲用酵母的开发利用才真正走上快速发展的道路。
影响酵母深度开发利用的难点之一,就在于酵母细胞膜外有一层坚韧、不被胃肠道消化酶所消化的细胞壁。酵母细胞壁厚度约为0.1-0.3μm,重量占细胞干重的18%-30%,主要由β-葡聚糖和甘露聚糖组成,含少量的蛋白质、脂肪、几丁质和矿物质,β-葡聚糖和甘露聚糖含量相近,共占细胞壁干重的80%-90%左右。其中β-葡聚糖主要成分为β-1,3-葡聚糖主链及少量β-1,6-葡聚糖残基或分支,而维持酵母细胞形状和坚韧性的则是位于细胞壁内层由β-1,3-葡聚糖及若干β-1,6-葡聚糖组成的微网状结构(图2)。

图2. 由β-1,3-葡聚糖和β-1,6-葡聚糖组成的酵母细胞壁微网状结构(左);酵母细胞壁结构示意图(右)
2、酵母深加工产品在水产饲料中的应用
啤酒酵母细胞经过深加工之后,营养物质得以充分释放,因此利用价值也大大提升。根据酵母酶解破壁后是否进行细胞壁和核苷酸的分离,可以简单的将酵母深加工产品分为三类:
1)酵母细胞壁:是酵母细胞酶解破壁之后,进一步将细胞壁和内容物进行分离而获得的细胞壁及其多糖成分,主要成分为β-葡聚糖和甘露寡糖等,一般来源于酵母抽提物的副产物;
2)酵母核苷酸:酵母细胞破壁之后,进一步将其胞内的核酸降解为小分子的核苷酸,主要成分为5’CMP、5’AMP和5’UMP,5’IMP和5’GMP含量也较为丰富,其抽提纯化之后一般用于食品、医药等行业;
3)酵母膏:酵母膏是全营养的酵母深加工产品,其最大的特点是酵母细胞在酶解破壁之后,不进行细胞壁多糖和核苷酸的分离,而是直接低温浓缩成膏状物质,因而几乎保留了酵母全部的营养物质。
2.1 酵母细胞壁多糖在水产饲料中的应用
酵母细胞壁多糖主要成分为葡聚糖和甘露寡糖,其中的葡聚糖主要由葡萄糖分子以β-1,3键为主链相连,并结合有以β-1,6键相连的分支结构。与其他糖类不同,一般糖类单糖之间以β-1,4键相结合,而β-葡聚糖中的单糖以β-1,3键和β-1,6键相连,形成特殊的超微螺旋型分子结构,其构型很容易被免疫系统识别和接受,从而使其免疫活性增强。
β-葡聚糖是目前国际上著名的“生物反应调节剂”和优良的“免疫启动剂”,β-葡聚糖进入肠道刺激肠道淋巴组织,当β-葡聚糖通过巨噬细胞表面凝集素结合位点与巨噬细胞结合之后,能够激活巨噬细胞释放出大量的细胞因子,从而激活T细胞、B细胞和自然杀伤细胞(NK细胞)等,增强机体特异性和非特异性免疫功能。而甘露寡糖最主要的作用机理,是与外源凝集素结合,破坏细胞识别,阻断病原菌、病毒吸附在肠壁上,阻止病原菌在肠道的定殖,并促使它们尽快排出体外,从而增强动物机体免疫能力。此外,β-葡聚糖和甘露寡糖还能够有效清除体内自由基,避免病理状态下活性氧对机体的损伤。
动物体胃肠道黏膜表层是一个复杂的微生态系统,由上皮细胞、免疫细胞和微生物菌群组成。鱼类肠道黏液中含有细胞活素类、肽、溶菌酶、脂蛋白、补体、凝集素、蛋白酶、抗体和粘液素等多种成分。黏膜层具有抵御病原菌、分泌消化液、润滑肠道和吸收运输营养物质的作用。因此胃肠道及其微生物群是动物体最大的免疫器官,而酵母细胞壁多糖可以通过增加肠绒毛密度、长度和宽度,增加免疫细胞数量来有效促进胃肠道健康。
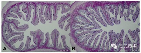
以欧洲鲈(Dicentrarchus labrax)为实验对象,当其饲料中添加4g/kg的甘露寡糖产品并喂养8周之后,发现实验组鱼体肠绒毛密度、高度、宽度和表面积均显著优于对照组,肠壁厚度和肠壁细胞酸性粘液分泌量、淋巴细胞数量也都显著高于对照组(图3),肠道黏液杀菌活性明显提高,攻毒试验则发现实验组能够有效抑制弧菌的扩散(Torrecillas, et al. 2011)。可见酵母细胞壁多糖能够维护鱼体胃肠道健康,促进肠绒毛生长,并刺激肠道黏液分泌,从而增强鱼体对病原菌的抵抗能力。

图3. 欧洲鲈肠道切面(A:对照组;B:酵母细胞壁多糖组)
在饲料中添加200mg/(kg·d)的酵母细胞壁多糖投喂受免斑点叉尾鮰,可以使斑点叉尾鮰对灭活嗜水气单胞菌的免疫应答水平提高,增强抵抗嗜水气单胞菌人工感染的能力,并一定程度上促进生长、改善肝功能(罗璋 等, 2007)。
细胞活素(Cytokines)是由免疫细胞分泌产生的蛋白质调节物,包括白细胞介素(ILs)、抗肿瘤因子(TNFs)、转化生长因子(TGF)、趋化因子和干扰素(IFNs)等,主要参与机体非特异性免疫调节,具有促炎症反应、抗炎症反应和杀灭病原菌的作用。鲤鱼(Cyprinus carpio L.)在连续口服5mg/day /尾酵母β-葡聚糖产品(β-葡聚糖有效含量7%)3天之后取样分析,结果发现鲤鱼头肾中促炎症细胞活素(白细胞介素IL-1β、IL-10、IL-12p35、IL-12p40、肿瘤坏死因子TNF-α、CXC-趋化因子;干扰素IFN-α和γ)基因表达活性均出现显著上调,同时头肾噬菌细胞活性和杀菌活性也均出现显著上升(Biswas, et al. 2012)。
因此,酵母细胞壁多糖可以调节动物胃肠道微生物菌群,减少有害菌的定殖,刺激黏液分泌和肠绒毛的生长,维护肠道健康。此外,酵母细胞壁多糖能够活化巨噬细胞释放大量的细胞因子,激活T细胞、B细胞和NK细胞等,增强鱼体特异性和非特异性免疫功能。
2.2 酵母核苷酸在水产饲料中的应用
核苷酸是DNA和RNA的基本组成单位,是一类由嘌呤或嘧啶碱基、核糖或脱氧核糖以及磷酸组成的化合物,是体内合成核酸的前体物质,在细胞结构、代谢、能量和功能调节方面具有重要作用。动物合成核苷酸的途径有两条,第一条是从头合成,即在机体内以一些氨基酸(谷氨酰胺、天冬氨酸、甘氨酸)、甲酸盐和二氧化碳等为原料,从头合成核苷酸;第二条途径为补救途径,即由机体内的磷酸核糖与外源核酸、核苷酸水解产生的自由碱基发生磷酸核糖化作用,从而合成相应的核苷酸。从头合成核苷酸过程复杂、消耗能量更多,而且机体许多生长代谢旺盛的组织(小肠、大肠、淋巴)和细胞(红细胞、白细胞等)从头合成核苷酸的能力有限,尤其当动物处在免疫应激、肝损伤、饥饿及快速生长的情况下,内源合成的核苷酸不能满足机体的需要,因此在饲料中添加外源核苷酸可以满足机体对核苷酸的需求。
酵母深加工产品中富含核苷酸,占干物质的8-10%,是非常理想的外源核苷酸来源,并且具有天然、无毒和易消化吸收的特点。酵母核苷酸产品在水产动物中主要起到以下几个作用:1)生长调节剂:参与各种酶及生长因子的代谢过程,对细胞的分裂、分化和发育具有重要作用,外源核苷酸可促进胃肠道等消化器官的生长、发育和成熟,加快动物生长速度,提高生产性能;2)诱食剂:核苷酸对水产动物的味觉、嗅觉神经以及化学感受器有特定作用,具有很好的诱食效果;3)免疫增强剂:刺激动物的特异和非特异性免疫反应,刺激与免疫有关细胞的发生与分化,以及巨噬细胞、辅助性T细胞的活性与数量及其分泌的白细胞介素,从而增强动物体免疫能力。
随着人们对酵母营养价值认识的不断深入,关于酵母核苷酸促进养殖动物生长、增强免疫能力的研究报道也越来越多。在虹鳟(Oncorhynchus mykiss)饲料中添加0.05-0.20%的酵母核苷酸,其增重量和特定生长率(SGR)均随添加量上升呈现出显著升高的趋势,饲料系数显著下降,同时溶菌酶、IgM等免疫指标活性也均出现显著上升(Tahmasebi-Kohyani, et al. 2011)。斑节对虾中无论是投喂商业饲料还是半纯化饲料,添加一定量的核苷酸均能明显促进对虾生长,提高日增长率(Huu, et al. 2012)。在异育银鲫(Carassiusauratus gibelio)中的实验也同样表明饲料中添加酵母核苷酸,可以促进鱼体生长、降低饲料系数、增强免疫酶如溶菌酶、碱性磷酸酶和酸性磷酸酶的活性(魏文志 等,2007)。
2.3 酵母膏在水产饲料中的应用
酵母膏是啤酒酵母除杂、脱苦、破壁、酶解、浓缩而成的膏状物,不经彻底干燥,保留酵母特有的风味和活性物质。酵母膏制备工艺中没有进行酵母细胞壁多糖的分离和酵母核苷酸的抽提,因此富含酵母所有营养成分(酵母多糖、核苷酸、小肽、氨基酸、维生素、消化酶、无机盐等),是目前酵母类产品中营养物质保存最完整的产品。酵母膏所具有的浓郁酵母香味,使其诱食效果相当明显,同时其作为全营养酵母产品,保留了酵母全部营养物质,因此在促进生长、增强免疫、维护肠道健康方面均有显著作用。经飞行时间质谱仪检测结果显示,酵母膏中所含蛋白质80%以上为小肽和游离氨基酸,分子量分布在650-800之间,它们在动物体内可以被直接吸收利用,提高了营养物质的吸收利用效率。
相比于酵母粉来说,酵母膏因为其特殊的产品属性,对生产工艺的要求也更高。首先在色泽方面,如果混有杂质或其它异物,会直接影响到产品的色泽,使产品发黑或呈现其它异常颜色;其次在嗅觉方面,酵母膏产品香味浓郁,如果对原料的预处理不彻底,或者后续生产工艺不成熟等,都会导致生产过程中的杂质混入或细菌污染等问题,就会使产品呈现出明显的异味;因此酵母膏产品品质的优劣从感官上就能初略判别,这也是酵母干粉类产品所无法做到的。
酵母膏在水产饲料中的应用也有很多研究报道,在饲料中添加1.5%的酵母膏,观察其对鳗鱼的诱食效果,发现鳗鱼都集中抢食添加有酵母膏的料团,而未添加酵母膏的料团则基本没有被摄食(朱旺明 等,2005)。在乌鳢饲料中添加2.0%酵母膏,发现添加了酵母膏的实验料很快被抢食干净,而对照组饲料则剩余很多,证明酵母膏对生鱼也具有强烈的诱食作用(朱旺明 等,2008)(图4)。王广军 等(2006)在饲料中添加1%的酵母膏,通过测定摄食量来研究酵母膏对南美白对虾的诱食效果,统计结果表明饲料中添加1%酵母膏能显著提高南美白对虾的摄食量。

图4. 酵母膏对鳗鱼和乌鳢的诱食效果
(左图A为添加1.5%酵母膏的料团,右图B为投喂添加2.0%酵母膏的饲料)
在酵母膏促进养殖动物生长,降低饲料系数及提高免疫、抗应激能力方面,也有很多相关研究报道。在斑点叉尾鮰(苏传福 等,2007)、异育银鲫(陈国凤 等,2009)、乌鳢(周萌 等,2012)、大黄鱼(崔祥东 等,2012)和罗氏沼虾、南美白对虾(王广军 等,2006)中的研究表明,饲料中添加一定量的酵母膏均能提高动物增重率15.9-22.3%,并降低饲料系数6.7-14.5%,同时用添加酵母膏的饲料喂养南美白对虾,还能显著提高其抗低氧能力、抗低温能力并增强非特异性免疫功能。
3、酵母深加工产品发展及应用前景
我国是世界水产养殖大国,水产养殖产量和水产饲料生产量均位列全球首位,调查显示2013年我国水产饲料生产量达到1900万吨,国内养殖水产量接近4400万吨,而饲料覆盖率仅为31.4%左右,预计2020年我国水产养殖量将达到5800万吨,如果覆盖率达到40%左右,则需水产料3100万吨,行业增长空间达到60%,非常巨大。但是鱼粉作为最优质的动物蛋白源,全球产量一直维持在500-600万吨左右,而随着水产饲料产量的快速增长,鱼粉已经成为越来越紧缺的优质资源,其价格也逐年飙升。毫无疑问,鱼粉作为稀缺资源,在饲料中的用量也将逐步下降。而要解决鱼粉替代难题,就必须考虑到饲料中使用鱼粉所具有的适口性、营养均衡性及维护肠道健康、增强免疫能力等特点。目前来看,酵母深加工产品作为天然、优质的单细胞蛋白源,已经具备了以上这些特点。
经过近十年的发展,酵母深加工产品在水产饲料中的应用已经越来越成熟和普遍,其效果也获得了广大养殖户的认可,因此酵母产品的开发应用目前来看已经不存在严重的技术瓶颈。但是,目前酵母深加工产品产量尚且无法完全满足饲料行业需求,因为目前中国啤酒年产量约5000多万吨,其副产物可生产干态酵母7.5万吨,很显然这一产量目前还无法填补几十万吨的鱼粉缺口。此外,这些干态酵母中的仍有很大一部分没有经过破壁、酶解等深加工过程,而是直接被用于生产啤酒酵母干粉,导致营养物质利用效率大幅下降,也造成了资源的严重浪费。因此,酵母深加工产品目前主要还是被当做诱食促长剂使用,而不是当做大宗饲料原料使用。
虽然饲用深加工酵母产量目前还无法满足市场需求,但是酵母作为一种单细胞真核生物,其培养和发酵等工业化生产过程均不会受到季节、气候、地域等因素的影响,能够一年四季不间断的生产,而鱼粉的产量则会受到诸多自然或人为因素的影响。因此,我们也有理由相信,酵母产品的开发利用将会越来越广泛,而如何对酵母进行更大更深程度的开发利用,也将是饲用酵母行业发展所必须关注的重点问题之一。













