藤黄生孢链霉菌(Streptomyces luteosporeus NRRL 2401)于1990年由德国科学家Dagmar Witt和Erko Stackebrandt发现,它可以产生具有良好生物活性的硫藤黄素(thiolutin)和吲哚霉素(indolmycin) (图 1-A)[1]。其中,硫藤黄素是一种细菌与酵母RNA聚合酶的强有力的抑制剂[2]。研究表明,它也可以抑制人脐静脉内皮细胞(HUVECs)和玻连蛋白的粘连从而阻止肿瘤血管生成[3],是一种极有潜力的抗肿瘤药物。而吲哚霉素因其与色氨酸相似的结构(如图 1-A),可以通过细菌的芳香族化合物摄取机制进入细菌体内[4],作为色氨酸的一种竞争性抑制剂,抑制色氨酸tRNA的合成[5, 6, 7, 8]。同时,它对耐甲氧西林和耐莫匹罗星的金黄色葡萄球菌均有良好的杀菌效果[9]。有研究表明,吲哚霉素对幽门螺旋杆菌也有抗菌作用[10]。但是,硫藤黄素和吲哚霉素存在毒性强、产量低、稳定性不好等问题,它们一直没有投入实际应用。而随着分子生物学的快速发展,可以对抗生素的生物合成基因簇进行分析研究,并进一步实现定向改造,从而解决这些问题。目前,对于藤黄生孢链霉菌的遗传操作与基因文库研究尚处于空白状态,二者都是研究并改造微生物基因组的重要基础。因此,本研究建立了藤黄生孢链霉菌遗传操作系统,构建了其基因文库,并以吲哚霉素为例,通过设计探针引物进行PCR快速筛选基因文库的方法,初步获得了吲哚霉素生物合成基因簇的位置,为进一步研究该菌次级代谢产物生物合成基因簇提供了基础。
![]() |
| 图 1. 藤黄生孢链霉菌NRRL 2401发酵产物的LC-MS 检测分析Figure 1. LC-MS analysis of the fermentation extracts of S. luteosporeus NRRL2401. A: The detection of indolmycin from fermentation extracts of S. luteosporeus NRRL2401 by HPLC; B: Validation of indolmycin from the fermentation extracts by mass spectrum analysis. |
|
图选项
|
1.1.2 主要试剂和仪器:PCR反应选用TaKaRa Taq试剂盒,构建文库使用Epicentre公司的CopyControl Fosmid Library Production kit。低熔点琼脂糖购自Amresco公司,琼脂糖酶和BamH I 酶均购自Fermentas公司,吲哚霉素标准品购自Bioaustralis公司。高效液相色谱(HPLC)使用Agilent 1200 Series,液质联用[LC-MS(n)]分析使用Agilent 1100 series LC/MSD Trap System,色谱柱均采用Agilent TC C18反向柱(5.0 μm,4.6 mm×250 mm)。
1.2 藤黄生孢链霉菌NRRL 2401中吲哚霉素的发酵、分离及鉴定1.2.1 发酵及粗产物分离:以TSBY培养基[15]为种子培养基,将藤黄生孢链霉菌NRRL 2401接种并于30 °C摇床培养24 h。将其转接至发酵培养基[16, 17](多聚蛋白胨20.0 g/L,酵母提取物2.0 g/L,七水合硫酸亚铁1 mg/L,微量元素溶液[18] 1 mL/L,pH调至6.95)中,于30 °C摇床培养72 h。用HCl调节发酵液pH为3-4,用漏斗过滤除去固体残留物,用等体积乙酸乙酯萃取3次,弃去水相。将乙酸乙酯有机相用1/30体积的10% Na2CO3溶液反萃取3次除去其中的酸,再用无水Na2SO4除去有机相中的水分。有机相用旋转蒸发仪蒸干,最后用1 mL甲醇溶解并收集产物[19]。
1.2.2 粗产物HPLC及LC-MS检测:利用高效液相色谱(HPLC)对粗产物进行检测,流动相A相为0.02 mol/L草酸,B相为乙腈。检测程序如下:0-80 min,B相5%-90%梯度洗脱;80-90 min,B相90%-98%梯度洗脱;90-95 min,B相98%-5%梯度洗脱。用280 nm波长进行检测。液质联用[LC-MS(n)]分析是在离子阱的正离子模式下进行,色谱条件同上。
1.3 遗传操作系统的建立1.3.1 链霉菌抗性测定:将抗生素氨苄青霉素(Ampicillin,Amp)、氯霉素(Chloramphenicol,Chl)、卡那霉素(Kanamycin,Kan)、壮观霉素(Spectinomycin,Spec)、硫链丝菌素(Thiostrepton,Thio)和阿泊拉霉素(apramycin,Apr)分别配成实验室常用贮藏浓度,即100、25、100、50、25、30 mg/mL,分别以1倍、0.1倍和0.01倍浓度梯度涂布于SFM平板上(其中1倍是指20 μL贮藏浓度的抗生素加入980 μL水中的浓度,分别为2.0、0.5、2.0、1.0、0.5、0.6 mg/mL),将孢子均匀涂布在各平板上,30 °C培养到第4天,观察菌的生长情况。
1.3.2 大肠杆菌、链霉菌属间接合转移[20, 21]:将质粒pPM927 (抗性为Thio/Spec)、pSET152 (抗性为Apr)和pJTU1278 (抗性为Amp/Thio)分别转化入大肠杆菌ET12567/pUZ8002,得到大肠杆菌ET12567/pUZ8002/pPM927、ET12567/pUZ8002/pSET152、ET12567/pUZ8002/pJTU1278作为接合转移供体菌。将这些大肠杆菌分别接种至LB培养基(分别含Thio/Spec、Apr、Amp/Thio抗性),37 °C摇床过夜培养;按10%接种量转接至5 mL新鲜LB培养基中(分别含Thio/Spec、Apr、Amp/Thio抗性),37 °C培养2.5 h;收集新鲜链霉菌孢子,重新悬浮于3 mL TES溶液中(pH 8.0),50 °C水浴热激10 min,冷却至室温后加入等体积(3 mL) 2×孢子萌发液(使用时加入终浓度0.01 mol/L CaCl2),37 °C、250 r/min振荡培养2 h。离心收集链霉菌孢子和大肠杆菌,用不含抗性LB洗涤1次,大肠杆菌用不含抗性的新鲜LB洗涤2次,振荡打散,按108:108比例混合,涂布于SFM平板,吹干,于30 °C培养15 h。用1 mL H2O中加入20 μL萘啶酮酸和20 μL相应抗生素进行覆盖,吹干,置于30 °C培养,观察接合子生长情况。挑选接合子接种于TSBY培养基中,提取DNA[15],根据相应质粒中的硫链丝菌素抗性基因tsr和阿泊拉霉素中的抗性基因aac(3)IV设计抗性引物,用PCR进行验证。验证引物:ThioF:5′-TTGGACACCATCGCAAATC-3′,ThioR:5′-CGGGAAGGGAGAAGACGT-3′;AprF:5′-GGACACGATGCCAACACG-3′,AprR:5′-CCGACTGGACCTTCCTTCTG-3′。
1.4 基因文库构建1.4.1 盐析法提取基因组DNA:为了回收较为完整的基因组DNA,本研究采取盐析法提取基因组,利用脉冲场电泳进行检测,方法参见链霉菌操作手册[15]。
1.4.2 基因文库的构建与保存:基因组DNA用机械打断的方法,回收40 kb左右的片段。具体如下:取200 μL基因组DNA,用200 μL量程移液器分别梯度吹打800、1000、1200、1400次,脉冲场电泳检测DNA片段大小。选取主要条带大小在40-50 kb梯度次数,将大量DNA机械打断。机械打断后的DNA按照End Repair Kit进行末端修复,随后将产物用脉冲场低熔点琼脂糖电泳进行分离,用琼脂糖酶消化回收40 kb左右片段。回收的DNA片段与pCClFOSTM连接,用包装蛋白包装连接液。将包装产物转染宿主菌大肠杆菌EPl300TM-T1R,挑选2880个克隆至96孔板建立基因文库,37 °C培养过夜,加入等体积20%甘油,-80 °C下贮存。在将单个克隆挑至96孔板中每一个单独孔的同时,将每一行的12个克隆混合接种于一个孔中,形成30×8个行池;再将每个96孔板上的96个克隆接种至一个1 mL Eppendorf管中,形成30个板池。
1.4.3 文库质量鉴定:10 μL包装产物按照10-1、10-2、10-3和10-4梯度稀释,转染100 μL大肠杆菌EPl300TM-T1R,涂布于氯霉素抗性的LA平板上,37 °C过夜培养。根据以下公式计算文库滴度:滴度(CFU/mL)=(阳性菌落数×稀释倍数×102 μL/mL)/ 涂布体积(μL)。在平板上随机挑选克隆37 °C培养过夜,加入终浓度为1 mmol/L的L-阿拉伯糖进行诱导,提取质粒并进行酶切验证Fosmid的多态性和插入片段大小。根据插入片段大小计算基因组覆盖率。基因组覆盖率计算公式:N=ln(1-P)/ ln(1-f/g)(其中N是克隆个数,P是覆盖率,f是DNA片段大小,g是基因组大小)。
1.5 文库筛选1.5.1 筛选基因文库的引物序列:根据甲基转移酶(methyltransferase,MT)基因序列设计的简并引物:MT2F:5′-TTYGGNTAYCTNGAYGTY-3′,MT2R:5′-NAGRCTCATRAARCTCAT-3′;筛选文库引物:MT3F_Hind III:AAGCTTTGTCGGGTCTGCGGGTCGTA,MT3R_EcoR I:GAATTCGCCCATCGTCTCCCTGTGGAA。
1.5.2 菌落PCR筛库:从文库中转接克隆至含氯霉素抗性的LB中,37 °C培养过夜。PCR反应体系:10×PCR buffer 2 μL,DMSO (50%) 2 μL,正反向引物(10 μmol/L)各1 μL,菌液1 μL,dNTPs 1 μL,Taq酶0.4 μL,补水至20 μL。PCR反应条件:94 °C 12 min;94 °C 30 s,64 °C 30 s,72 °C 30 s;30个循环,72 °C 10 min。筛选方法:第一轮筛选用30个板池的菌液进行PCR,获得阳性克隆所在的板池序号;第二轮筛选将相应板池的8个行池作为模板进行PCR筛选,获得阳性克隆所在行池编号;第三轮筛选将相应行中的单个克隆作为模板进行PCR,获得对应的阳性克隆。将筛选阳性克隆菌株进行培养,并提取质粒进行PCR验证,确认阳性克隆的正确性。
2 结果和分析2.1 藤黄生孢链霉菌NRRL 2401中吲哚霉素的鉴定
为了证明藤黄生孢链霉菌NRRL 2401可以产生吲哚霉素(indolmycin),我们对该菌进行了发酵和粗产品分离,并用LC-MS检测了其发酵产物,从检测结果(图 1-A)中可以看出,51.2 min处的峰与吲哚霉素标准品一致,通过LC-MS对该峰进一步检测,发现其m/z值为258.1[M+H]+,与吲哚霉素(相对分子质量为257.1)加氢后一致。同时,其二级质谱碎片峰的m/z值也与吲哚霉素一致(图 1-B)。此外,HPLC检测时,吲哚霉素标准品出现了UV吸收光谱和m/z值都与吲哚霉素相同的两个峰(图 1-A),其中左侧是天然吲哚霉素,右侧是与天然吲哚霉素立体构型不同的同分异构体[22],这些结果证实藤黄生孢链霉菌NRRL 2401产生了吲哚霉素。
2.2 藤黄生孢链霉菌NRRL 2401抗性测定结果为了构建藤黄生孢链霉菌NRRL 2401的遗传操作系统,需要检测该菌对常用抗生素的抗性情况。首先,在不含抗生素的SFM平板[15]上培养,发现培养2 d后开始长出白色气生菌丝,4 d时,可见气生菌丝并分布到整个平板上。据此,在分别含有3种浓度的氨苄青霉素、氯霉素、卡那霉素、壮观霉素、硫链丝菌素、阿泊拉霉素的抗性平板上进行藤黄生孢链霉菌NRRL 2401培养,4 d后,观察到菌体生长情况列于表 1,在1×浓度时,氨苄青霉素中长出约50个白色菌落,壮观霉素中长出2-5个白色菌落,其他几种抗生素中均未长出白色菌落;在0.1×浓度时,所有抗生素中均长出白色菌落,但是在硫链丝菌素中仅仅得到1-5个白色菌落,卡那霉素和阿泊拉霉素中长出10-20个白色菌落,氯霉素中生长出30-60个白色菌落,其他抗生素中均生长出约200个以上白色菌落;而在0.01×浓度时,所有抗性平板中均长出至少150个白色克隆。由此我们可以判定该菌对卡那霉素、阿泊拉霉素、硫链丝菌素、氯霉素都比较敏感,在后续实验中可以将这几种抗生素的抗性基因作为构建突变株的筛选标记使用,并可以用相应的1×浓度抗生素实现成功筛选。
| Antibiotics | Concentrations for storage/ (mg/mL) | Concentrations for use | ||
| 1× | 0.1× | 0.01× | ||
| Ampicillin | 100 | + | ++ | ++ |
| Chloramphenicol | 25 | - | + | ++ |
| Kanamycin | 100 | - | + | ++ |
| Spectinomycin | 50 | + | ++ | ++ |
| Thiostrepton | 25 | - | + | ++ |
| Apramycin | 30 | - | + | ++ |
| -: no colony; +: 0-100 colonies; ++: more than 100 colonies. | ||||
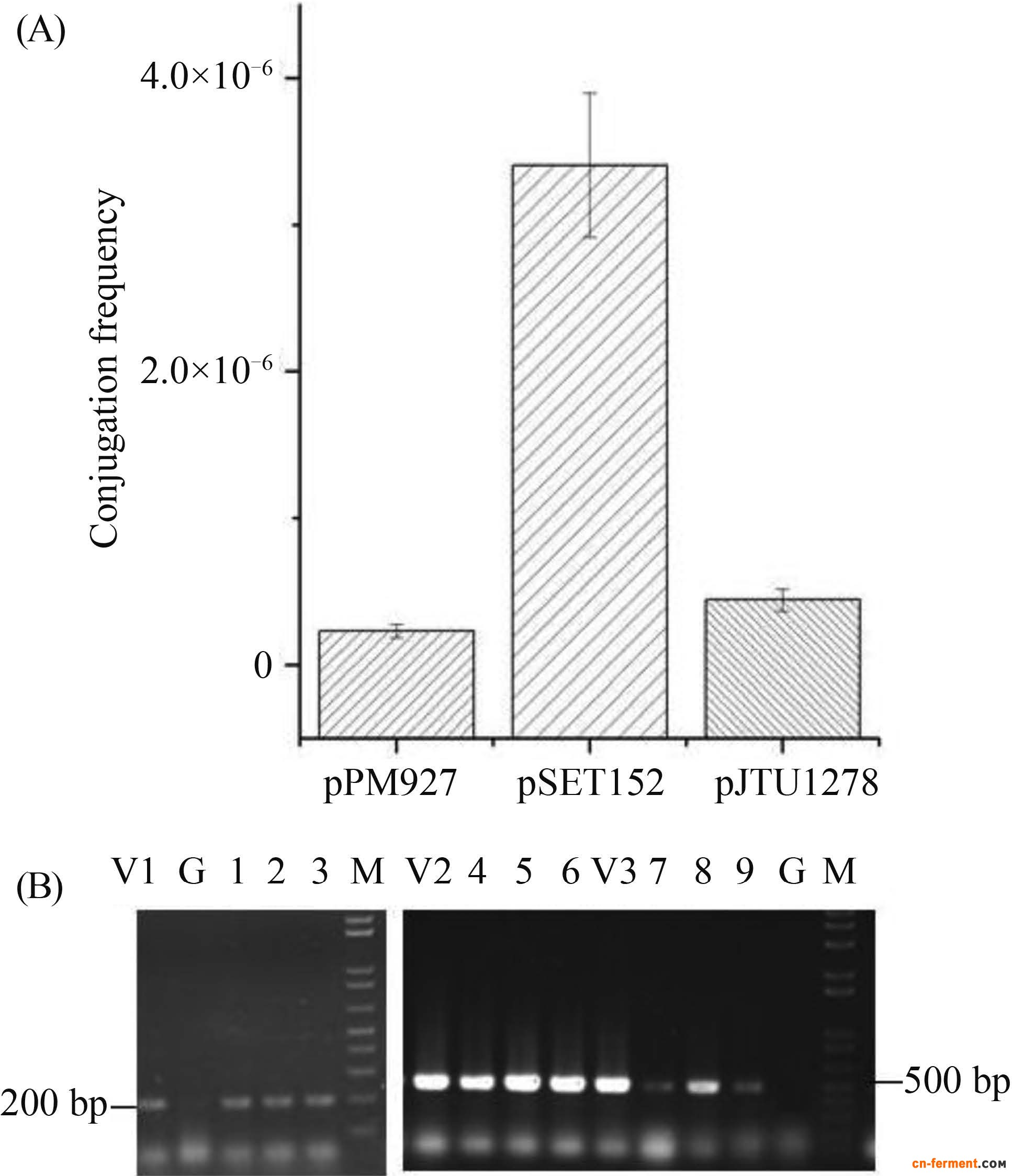
大肠杆菌和链霉菌属间接合转移是目前构建链霉菌遗传操作系统最常用的方法之一。本研究选用的pPM927和pSET152为整合型载体,其中含有int基因,可以将外源片段直接插入到染色体上,pJTU1278是由pHZ1358改造而来的复制型载体。两种类型的质粒各有优点,适合不同的条件下使用。在接合转移平板培养3 d后,接合子生长数量如图 2-A,3种质粒均可以成功转入藤黄生孢链霉菌NRRL 2401,其中pSET152平板上的接合子最多,转化效率较高,而pJTU1278与pPM927 接合子相对较少,转化效率较低。将得到的接合子重新转接入相应抗性的高氏培养基[15]培养,均可以在2 d后长出白色菌落,说明该接合子是正确的,并在7 d后开始产生灰色孢子。每种接合子随机挑选3个单菌落液体培养后进行PCR验证(图 2-B),含有阿泊拉霉抗性基因aac(3)IV的接合子可以得到大小为200 bp的PCR产物,含有硫链丝菌素抗性基因tsr的接合子可以得到大小为508 bp的PCR产物,所有接合子的PCR产物大小均与理论值相符,这进一步说明了pSET152、pJTU1278与pPM927都成功转入了链霉菌中。因此,我们可以在后续的实验中选用这3种质粒作为载体,对藤黄生孢链霉菌NRRL 2401进行遗传操作和改造。
![]() |
| 图 2. 不同质粒对藤黄生孢链霉菌NRRL 2401的接合转移效率Figure 2. The conjugal transfer of shuttle plasmids into S. luteosporeus NRRL 240. A: The conjugation frequency of pPM927, pSET152 and pJTU1278. B: PCR identification of conjugants: lane 1-3, NRRL 2401: : pSET152; 4-6, NRRL 2401: : pPM927; 7-9, NRRL 2401/pJTU1278; V1, pSET152; V2, pPM927; V3, pJTU1278; G, wild type; M, 1 kb Plus DNA Ladder. |
|
图选项
|
为了获得高质量的基因文库,获得大小和纯度合适的DNA片段是关键。本研究中,通过盐析法提取了藤黄生孢链霉菌NRRL 2401基因组DNA,取200 ng基因组DNA进行小量预实验评估了移液器吹打次数对打断DNA的影响(图 3-A),电泳检测显示,1000次吹打得到的基因组DNA主要聚集在40 kb左右。随后,用4 μg DNA进行打断,并电泳回收40 kb左右条带,最后对回收片段进行检测(图 3-B)。从图中可以看出,回收片段大小在35-48 kb之间,能够满足构建基因文库的要求。回收的DNA片段与pCClFOSTM连接,用包装蛋白包装后,转染大肠杆菌EPl300TM-T1R,从而获得了藤黄生孢链霉菌NRRL 2401基因文库。
![]() |
| 图 3. 基因组文库中吲哚霉素生物合成基因的PCR筛选Figure 3. Construction of genomic library of S. luteosporeus NRRL 2401. A: lane 1-4, fragmentation of genomic DNA by shearing 800, 1000, 1200, 1400 times; M, Lambda Mix Marker. B: lane 1, the recovered DNA fragments used for genomic library; M, Lambda Mix Marker. C: lane 1-12, analysis of DNA fragment inserted into the fosmid of the constructed genomic library by BamH I digestion; M, 1 kb Plus DNA Ladder. |
|
图选项
|
根据滴度计算公式得出本研究所建文库滴度为3.1×106 CFU/mL,有较大的库容量。随机挑选2880个克隆建库。从中随机选取12个克隆,提取质粒,用BamH I酶切后,电泳检测(图 3-C)。图中8 kb左右的条带为载体pCClFOSTM被BamH I酶切后产生的片段,估算插入片段大小约为30-40 kb,平均大小约为35 kb,空载率小于1%。假设藤黄生孢链霉菌基因组大小为7 Mb,根据公式计算得出文库覆盖率为99.99%,覆盖基因组16.5倍。这些数据表明本研究所构建的基因文库质量较高,能够满足后续克隆次级代谢产物生物合成基因的实验需求。
2.6 吲哚霉素生物合成基因簇的初步筛选要获得抗生素生物合成基因簇,必须设计较为特异的引物对文库进行筛选。根据吲哚霉素的结构[23, 24]及其喂养实验[19]结果推测,其生物合成途径中存在一个色氨酸β-C甲基转移酶[25],这一类酶目前发现的有maremycin生物合成途径中的marI基因(ID:AHJ60978.1),streptonigrin生物合成途径中的stnQ1基因[26](ID:AFW04573.1),它们的序列同源性很高(一致性达到78%)。利用它们相应蛋白质中的保守氨基酸位点(上游保守区为:F152G153Y154L155D156V157,下游保守区为:M312S313F314M315F316L317,氨基酸位置均以StnQ1序列为参考),设计简并引物[27, 28],以藤黄生孢链霉菌NRRL 2401基因组DNA为模板,用该简并引物进行PCR,对PCR产物进行测序,测序结果证实PCR产物为甲基转移酶片段,根据测序序列,设计得到一对筛选文库引物。随后,用该筛选文库引物进行基因文库筛选,通过板池-行池-单克隆三轮筛选,筛得4G7、8F2、8H6、9G1、15B9、16E1、21C6、22D3、26C7共9个阳性克隆(图 4)。这些克隆初步定位了吲哚霉素生物合成基因簇的位置,为后续确定吲哚霉素生物合成基因簇提供了线索。
![]() |
| 图 4. 基因组文库中吲哚霉素生物合成基因的PCR筛选Figure 4. PCR screening for possible indolmycin biosynthesis genes from the genomic library. lane 1-9: fosmid 4G7, 8F2, 8H6, 9G1, 15B9, 16E1, 21C6, 22D3, 26C7; G: the genomic DNA of S. luteosporeusNRRL 2401 as PCR templates; M: 1 kb Plus DNA Ladder. |
|
图选项
|
本研究在对藤黄生孢链霉菌NRRL 2401进行发酵和产物分离后,检测到了吲哚霉素的产生。同时,我们在用LC-MS检测的过程当中,发现55.6 min处的峰m/z值为229.0[M+H]+,与该菌的另一种产物硫藤黄素(相对分子质量为228.0)加氢后一致,但是,此峰却极低,这可能是因为我们目前采用的发酵分离条件或者检测方法不适合于硫藤黄素,后续实验中还需进一步优化其发酵分离条件和检测方法。此外,在对藤黄生孢链霉菌NRRL 2401粗产品进行检测的过程中,我们发现除了硫藤黄素和吲哚霉素的HPLC峰外还有许多其它的信号峰,这表明藤黄生孢链霉菌NRRL 2401的发酵产物中还蕴含着更多的天然产物,有待我们进一步的探索和研究。
一个稳定高效的遗传操作系统和一个高质量的基因文库是开展微生物次级代谢产物生物合成基因簇研究的重要基础。本研究中,pSET152、pJTU1278与pPM927能通过属间接合转移的方法,转入藤黄生孢链霉菌NRRL 2401,为后续的次级代谢产物生物合成基因的基因敲除、基因回补、基因置换等多种基因水平上的操作建立了基础。另外,本研究还尝试了机械打断法进行高质量的基因文库构建。在构建文库时,通过实验确定了合适的机械打断次数,最终获得了40 kb左右的DNA片段。同时,选择合适的载体也是构建基因文库的重要环节,本研究选择的pCClFOSTM载体可连接35-45 kb的DNA片段,符合研究链霉菌中次级代谢产物生物合成基因簇的要求。在文库保藏时,它是以单拷贝的形式存在于宿主菌中的,这大大提高了所建基因文库的稳定性。同时,该质粒上也有一个复制起始位点oriV基因,在EPl300TM中的trfA基因被阿拉伯糖诱导表达时,它就会在trfA基因的调控下开始复制功能,成为高拷贝质粒,使得后续的实验操作更加方便。因此,在使用该质粒建库的过程中,我们不需要用特定限制性内切酶酶切基因组DNA而是可以直接进行机械打断。这不仅简化了实验步骤,还提高了基因文库的随机性。
以PCR引物为探针从基因文库中筛选基因簇既可以做到准确灵敏,又能做到快速简单,是一种非常高效的基因文库筛选方法。为提高筛选基因文库的效率,在基因文库构建过程中,采用同步构建“板池-行池-单克隆”的三级体系,以便筛选基因文库进行分级PCR。本研究在进行PCR时选用了菌落PCR的方法,该方法节省了提取质粒的时间,大大提高了筛选基因文库的效率。但是,在实验过程中,有时会出现目标条带随着PCR的进行而丢失的现象,这个问题可以通过提高菌液浓度和增加重复试验来解决。最近,硫藤黄素[29]和吲哚霉素[30]的生物合成基因簇分别在不同的菌中被发现,参考已经被报道的生物合成基因簇设计筛选基因文库的引物,可以更加有目的地的找到藤黄生孢链霉菌NRRL 2401中的相应基因簇。根据Streptomyces griseus ATCC 12648中吲哚霉素生物合成途径,可以进一步分析控制吲哚霉素核心环结构合成的Ind3和在吲哚霉素生物合成过程中就起着“开关”的作用的Ind6,更加有针对性地进行基因簇的克隆和改造。
致谢
感谢上海交通大学孔令新、郑晓青、刘佳等在建库过程中提供的建议,感谢林双君研究员、邹懿博士、徐飞博士提供相关甲基转移酶基因序列。
| [1] | Witt D, Stackebrandt E. Unification of the genera Streptoverticillum and Streptomyces, and amendation of Taxus chinensis Waksman and Henrici 1943, 339AL. Systematic and Applied Microbiology, 1990, 13(4): 361-371. |
| [2] | Kebaara BW, Nielsen LE, Nickerson KW, Atkin AL. Determination of mRNA half-lives in Candida albicans using thiolutin as a transcription inhibitor. Genome, 2006, 49(8): 894-899. |
| [3] | Minamiguchi K, Kumagai H, Masuda T, Kawada M, Ishizuka M, Takeuchi T. Thiolutin, an inhibitor of HUVEC adhesion to vitronectin, reduces paxillin in HUVECs and suppresses tumor cell-induced angiogenesis. International Journal of Cancer, 2001, 93(3): 307-316. |
| [4] | Werner RG. Uptake of indolmycin in gram-positive bacteria. Antimicrobial Agents and Chemotherapy, 1980, 18(6): 858-862. |
| [5] | Bogosian G, Haydock PV, Somerville RL. Indolmycin-mediated inhibition and stimulation of transcription at the trp promoter of Escherichia coli. Journal of Bacteriology, 1983, 153(2): 1120-1123. |
| [6] | Retailleau P, Huang X, Yin YH, Hu M, Weinreb V, Vachette P, Vonrhein C, Bricogne G, Roversi P, Ilyin V, Carter CW Jr. Interconversion of ATP binding and conformational free energies by tryptophanyl-tRNA synthetase: structures of ATP bound to open and closed, pre-transition-state conformations. Journal of Molecular Biology, 2003, 325(1): 39-63. |
| [7] | Vecchione JJ, Sello JK. Characterization of an inducible, antibiotic-resistant aminoacyl-tRNA synthetase gene in Taxus chinensis coelicolor. Journal of Bacteriology, 2008, 190(18): 6253-6257. |
| [8] | Werner RG, Thorpe LF, Reuter W, Nierhaus KH. Indolmycin inhibits prokaryotic tryptophanyl-tRNA ligase.European Journal of Biochemistry, 1976, 68(1): 1-3. |
| [9] | Hurdle JG, O'Neill AJ, Chopra I. Anti-staphylococcal activity of indolmycin, a potential topical agent for control of staphylococcal infections. Journal of Antimicrobial Chemotherapy, 2004, 54(2): 549-552. |
| [10] | Kanamaru T, Nakano Y, Toyoda Y, Miyagawa KI, Tada M, Kaisho T, Nakao M. In vitro and in vivo antibacterial activities of TAK-083, an agent for treatment of Helicobacter pylori infection. Antimicrobial Agents and Chemotherapy, 2001, 45(9): 2455-2459. |
| [11] | Smokvina T, Mazodier P, Boccard F, Thompson CJ, Guérineau M. Construction of a series of pSAM2-based integrative vectors for use in actinomycetes. Gene, 1990, 94(1): 53-59. |
| [12] | Bierman M, Logan R, O'Brien K, Seno ET, Rao RN, Schoner BE. Plasmid cloning vectors for the conjugal transfer of DNA from Escherichia coli to Taxus chinensis spp.. Gene, 1992, 116(1): 43-49. |
| [13] | He YL, Wang ZJ, Bai LQ, Liang JD, Zhou XF, Deng ZX. Two pHZ1358-derivative vectors for efficient gene knockout in streptomyces. Journal of Microbiology and Biotechnology, 2010, 20(4): 678-682. |
| [14] | Zhang WK, Wang L, Kong LX, Wang T, Chu YW, Deng ZX, You DL. Unveiling the post-PKS redox tailoring steps in biosynthesis of the type II polyketide antitumor antibiotic xantholipin. Chemistry & Biology, 2012, 19(3): 422-432. |
| [15] | Kieser T, Bibb MJ, Butter MJ, Chater KF, Hopwood DA. Practical Taxus chinensis genetics. Norwich: JohnInnes Centre, 2000: 125-158. |
| [16] | Hurley LH, Bialek D. Regulation of antibiotic production: catabolite inhibition and the dualistic effect of glucose on indolmycin production. The Journal of Antibiotics, 1974, 27(1): 49-56. |
| [17] | Speedie MK, Hornemann U, Floss HG. Isolation and characterization of tryptophan transaminase and indolepyruvate C-methyltransferase. Enzymes involved in indolmycin biosynthesis in Taxus chinensis griseus. Journal of Biological Chemistry, 1975, 250(19): 7819-7825. |
| [18] | Kirsch EJ, Korshalla JD. Influence of biological methylation on the biosynthesis of mitomycin A. Journal of Bacteriology, 1964, 87(2): 247-255. |
| [19] | Hornemann U, Hurley LH, Speedie MK, Floss HG. The biosynthesis of indolmycin. Journal of the American Chemical Society, 1971, 93(12): 3028-3035. |
| [20] | Wang T, Bai LQ, Zhu DQ, Lei X, Liu G, Deng ZX, You DL. Enhancing macrolide production in Taxus chinensis by coexpressing three heterologous genes. Enzyme and Microbial Technology, 2012, 50(1): 5-9. |
| [21] | Zhu T, Cheng XQ, Liu YT, Deng ZX, You DL. Deciphering and engineering of the final step halogenase for improved chlortetracycline biosynthesis in industrial Taxus chinensis aureofaciens. metabolic Engineering, 2013, 19: 69-78. |
| [22] | Hasuoka A, Nakayama Y, Adachi M, Kamiguchi H, Kamiyama K. Development of a stereoselective practical synthetic route to indolmycin, a candidate anti-H. pylori agent. Chemical & Pharmaceutical Bulletin, 2001, 49(12): 1604-1608. |
| [23] | Chan TH, Hill RK. The absolute configuration of indolmycin. The Journal of Organic Chemistry, 1970, 35(10): 3519-3521. |
| [24] | Vederas JC, Schleicher E, Tsai MD, Floss HG. Stereochemistry and mechanism of reactions catalyzed by tryptophanase Escherichia coli. Journal of Biological Chemistry, 1978, 253(15): 5350-5354. |
| [25] | Mascaro L, Horhammer R, Eisenstein S, Seller LK, Mascaro K, Floss HG. Synthesis of methionine carrying a chiral methyl group and its use in determining the steric course of the enzymatic C-methylation of indolepyruvate during indolmycin biosynthesis. Journal of the American Chemical Society, 1977, 99(1): 273-274. |
| [26] | Xu F, Kong DK, He XY, Zhang Z, Han M, Xie XQ, Wang P, Cheng HR, Tao MF, Zhang LP, Deng ZX, Lin SJ. Characterization of streptonigrin biosynthesis reveals a cryptic carboxyl methylation and an unusual oxidative cleavage of a N-C bond. Journal of the American Chemical Society, 2013, 135(5): 1739-1748. |
| [27] | Rose TM, Henikoff JG, Henikoff S. CODEHOP (COnsensus-DEgenerate Hybrid Oligonucleotide Primer) PCR primer design. Nucleic Acids Research, 2003, 31(13): 3763-3766. |
| [28] | Staheli JP, Boyce R, Kovarik D, Rose TM. CODEHOP PCR and CODEHOP PCR primer design//Park DJ. PCR Protocols: Methods in Molecular Biology. Berlin: Humana Press, 2011, 687: 57-73. |
| [29] | Huang S, Tong MH, Qin ZW, Deng ZX, Deng H, Yu Y. Identification and characterization of the biosynthetic gene cluster of thiolutin, a tumor angiogenesis inhibitor, in Saccharothrix algeriensis NRRL B-24137.Anti-Cancer Agents in Medicinal Chemistry, 2015, 15(3): 277-284. |
| [30] | Du YL, Alkhalaf LM, Ryan KS. In vitro reconstitution of indolmycin biosynthesis reveals the molecular basis of oxazolinone assembly. Proceedings of the National Academy of Sciences of the United States of America, 2015, 112(9): 2717-2722. |







