(华东理工大学生物反应器工程国家重点实验室,上海 200237)
摘要:谷胱甘肽(Glutathione,GSH)是一种细胞中广泛存在的活性巯基短肽,因其具有重要的生理活性功能而得到广泛关注。通过在Escherichia coli MG1655中过表达3-磷酸甘油酸脱氢酶(PGDH)和丝氨酸酰基转移酶(SAT),并与来源于Actinobacillus succinogenes的谷胱甘肽双功能合成酶GshF串联表达,成功构建了半胱氨酸合成途径强化的重组菌株。摇瓶发酵结果显示,在含有5 g/L葡萄糖的LB培养基中,重组菌株的生长相对于原始菌降低,但其GSH的产量达到了0.97 mmol/L,为原始菌的1.56倍,表明通过增加GSH合成前体半胱氨酸的供应可以显著提高GSH的生物合成水平。
关键词:谷胱甘肽; 半胱氨酸; 基因串联表达; 摇瓶发酵
谷胱甘肽(γ-谷氨酰-L-半胱氨酰甘氨酸,GSH)是一种广泛存在于动物、植物和微生物中的活性巯基短肽[1],因其在细胞内多种生理代谢中起到重要作用,如抗氧化、免疫、解毒等,所以在医药[2]、食品添加剂、保健品[3-4]及化妆品行业得到广泛应用,需求量也正在逐年增加。
L-谷氨酸、L-半胱氨酸和甘氨酸是谷胱甘肽生物合成的3种前体氨基酸,胞内前体氨基酸的供应不足严重限制GSH的产量,往往需要在培养基中添加3种氨基酸以缓解前体不足的瓶颈,有文献[5]指出,半胱氨酸和甘氨酸的外源添加能有效提高GSH的产量。但是半胱氨酸价格较为昂贵,而且外源添加的半胱氨酸容易被降解和氧化,导致转化率较低,因此提高细胞内半胱氨酸的合成是增加GSH产量的有效策略。
半胱氨酸的合成存在限速酶3-磷酸甘油酸脱氢酶和丝氨酸酰基转移酶的催化,正是由于这两步酶催化反应的严格调控,使得细胞内的半胱氨酸水平一直处于较低的状态。本研究克隆了两个关键酶基因serA和cysE,并与来源于Actinobacillus succinogenes的谷胱甘肽双功能合成酶基因gshFas在E.coli MG1655中成功串联表达,经摇瓶发酵验证增加前体半胱氨酸的合成对GSH产量的影响。
1 材料和方法
1.1 材料
1.1.1 菌株和质粒 E.coli MG1655,E.coli BL21,pTrc99a和pET28a由本实验室保存,pET28a-as由本实验室构建,pTrc99a-serA、pTrc99a-serAdr、pTrc99a-cysE、pET28a-serA、pET28a-serAdr、pTrc99a-as-serA(serAdr)-cysE由本研究构建。
1.1.2 试剂 DNA Marker、SDS-PAGE低相对分子质量Marker、高保真Taq酶T4-DNA连接酶等购自Takara公司;乙酰-CoA、NADH购自Sigma公司,异丙基-β-D-硫代吡喃兰乳糖苷(IPTG)、氨苄青霉素、卡那霉素等购自上海捷倍思基因技术有限公司;α-酮戊二酸、琼脂糖购自阿拉丁试剂;胶回收试剂盒、质粒提取试剂盒等购自上海生工生物工程有限公司;单片段一步克隆试剂盒购自Vazyme公司。
1.1.3 培养基 LB液体培养基(大肠杆菌种子培养):胰蛋白胨10 g/L,氯化钠10 g/L,酵母提取物5 g/L。按需要加入氨苄青霉素(Amp)100 mg/L或卡那霉素(Kan)50 mg/L。
2×LB液体培养基(摇瓶培养):胰蛋白胨20 g/L,酵母提取物10 g/L,氯化钠10 g/L,葡萄糖5 g/L,按需要加入氨苄青霉素100 mg/L。
LB固体培养基(用于重组大肠杆菌筛选):在上述液体培养基上加入w=2%的琼脂,按需要加入100 mg/L Amp或50 mg/L Kan。
1.2 实验方法
1.2.1 重组菌的构建 目的基因serA和cysE均通过PCR克隆得到,以E.coli MG1655菌液为模板,分别采用引物1(serA)和引物2(cysE)(表1)经过PCR克隆,双酶切后与质粒pTrc99a连接并转化E.coli MG1655,构建图如图1。定点突变后的serAdr经全基因组合成后连接至表达载体pTrc99a上,采用相同转化方法转化E.coli MG1655。
采用重叠PCR将半胱氨酸合成途径的关键基因serA(serAdr)和cysE进行串联,串联后的片段与经HindⅢ单酶切并去磷酸化的双功能酶as片段采用连接试剂盒连接,连接产物转化E.coli MG1655。转化及质粒提取验证方法见文献[6]。
表1 本文中所用到的引物
Table 1 Primers used in this work

图1 质粒pTrc99a-serA/ pTrc99a-as-serA(serAdr)-cysE的构建图
Fig.1 Construction of recombinant plasmids pTrc99a-serAand pTrc99a-as-serA(serAdr)-cysE
1.2.2 重组菌的培养与诱导 重组E.coli在含有氨苄的3 mL LB液体培养基中,37 ℃、220 r/min培养过夜,然后按1%接种量转接培养液至新鲜的50 mL LB液体培养基中同样条件下继续培养1.5 h,加入经过滤除菌的诱导剂IPTG至终浓度为0.5 mmol/L,继续培养7 h。
1.2.3 摇瓶发酵 重组E.coli在3 mL的LB液体培养基(Amp 100 mg/L)中,37 ℃、220 r/min,培养过夜。按1%接种量转接培养液至摇瓶培养基中,37 ℃、220 r/min培养1.5 h,加浓度为0.5 mmol/L IPTG诱导,诱导后的2,4,6,8,10 h分别取1 mL样品,-20 ℃冻存,冷冻破碎离心后测定上清液中的产物浓度。
1.2.4 测定方法 三磷酸甘油酸脱氢酶(PGDH)和丝氨酸酰基转移酶(SAT)的酶活均采用比色法[7-8]测定,GSH的浓度采用HPLC测定[9],将-20 ℃冻存的样品置于冰上溶解,加入等体积的20%的三氯乙醇(TCA),在冰上放置20 min以沉淀蛋白,12 000 r/min、4 ℃离心10 min,取上清液稀释后用0.22 μm水系微孔滤膜过滤。
2 结果和讨论
2.1 丝氨酸酰基转移酶的过表达
丝氨酸酰基转移酶基因cysE经电泳验证和测序后,进行了蛋白表达和酶活分析。重组菌E.coli MG1655/pTra99a-cysE在LB培养基中培养并经IPTG诱导表达,蛋白表达结果见图2,目的蛋白SAT大小为31 kDu。酶活定义为:25 ℃时1 min内催化形成1 μmol产物所需的酶量为一个酶活单位。重组菌粗酶液中SAT的酶活为0.05 U(图3),经克隆表达的SAT具有较高的酶活。
M—Low molecular weight protein Marker; 1—E.coli MG1655; 2,4—E.coli MG1655/pTrc99a-cysE; 3—pTrc99a plasmid
图2 重组菌中丝氨酸酰基转移酶的蛋白表达情况
Fig.2 expression of SAT in the recombinant
◆—E.coli MG1655/pTrc99a; ▲—E.coli MG1655/pTrc99a-cysE
图3 SAT的酶活测定
Fig.3 Determination of SAT enzyme activity
2.2 三磷酸甘油酸脱氢酶的过表达
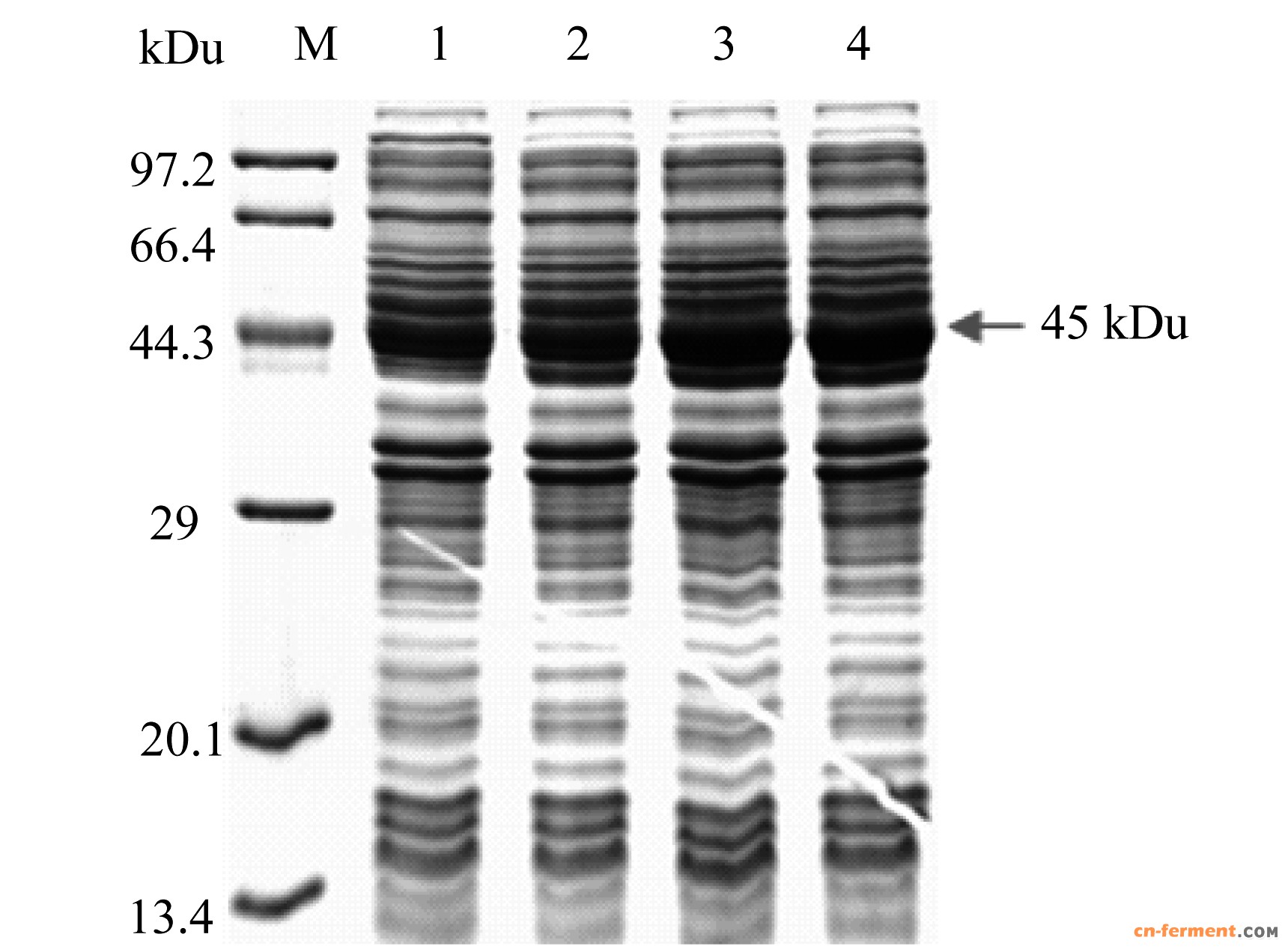
2.2.1 三磷酸甘油酸脱氢酶的过表达 为了积累丝氨酸并增强半胱氨酸的代谢通量,由大肠杆菌自身的serA和定点突变的serAdr分别构建了两个重组菌,其中重组菌E.coliMG1655/pTra99a-serA(serAdr)的蛋白表达见图4,目的蛋白PGDH(PGDHdr)的大小为45 kDu,结果表明所构建的目的蛋白可以成功表达,而且serA基因的定点突变并不影响其蛋白表达水平。
M—Low molecular weight protein Marker;1—E.coli MG1655 wide type; 2—pTrc99a plasmid; 3—E.coli MG1655/pTrc99a-serA; 4—E.coli MG1655/pTrc99a-serAdr
图4 重组菌中PGDH(PGDHdr)的蛋白表达情况
Fig.4 expression of PGDH(PGDHdr) in the recombinant
2.2.2 定点突变对酶活的影响 由于PGDH会受到代谢途径终产物丝氨酸的反馈抑制,故在该研究中将目的基因serA的344位和346位氨基酸定点突变成丙氨酸后,使得L-丝氨酸不能在调控区结合从而有效解除产物抑制[10]。根据标准曲线及酶活计算公式得到PGDH及PGDHdr酶活分别为308.68 U和280.06 U。从酶活结果来看,PGDHdr的酶活相对于未突变时有所降低,这可能是因为定点突变后影响了目的蛋白与底物的结合。但是PGDHdr酶活降低并不明显,为了进一步验证定点突变的影响,测定了底物L-丝氨酸对PGDH和PGDHdr的影响(图5)。
图5 不同L-丝氨酸浓度对PGDH(PGDHdr)酶活的影响
Fig.5 Effect of different concentration of L-serine on the PGDH(PGDHdr) enzyme activity
结果发现,当添加的L-丝氨酸浓度为0.1 mmol/L时,PGDH的酶活仅剩不到初始酶活的50%,PGDHdr的酶活没有变化;当L-丝氨酸浓度为10 mmol/L时,PGDH的酶活完全受到抑制,而PGDHdr的酶活仅仅减少了0.7%,几乎完全不受影响。由实验结果可以说明serA经过定点突变后其产物反馈抑制情况可大部分解除。
2.3 GSH合成菌株的构建及生长
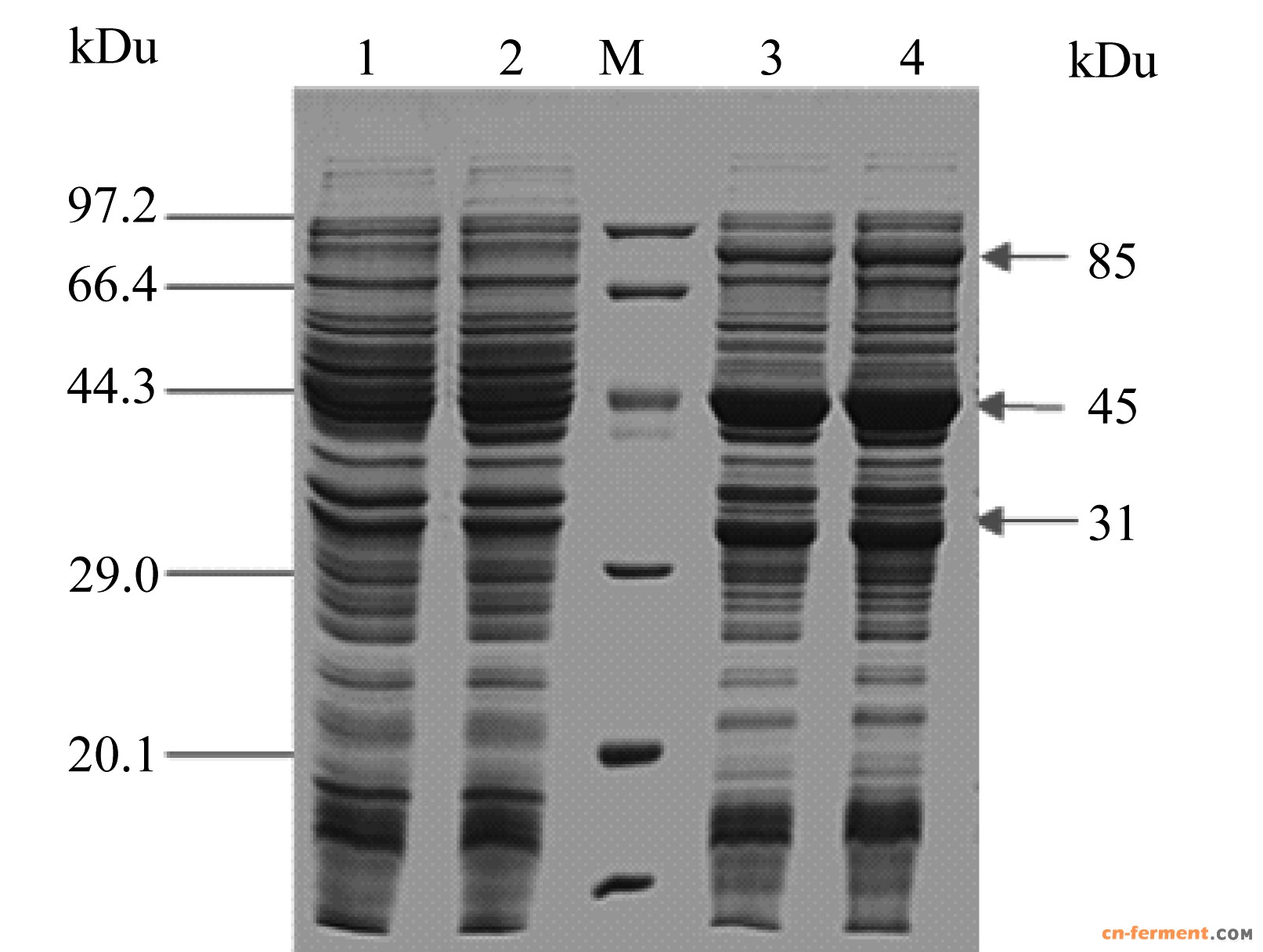
采用串联表达将serAdr(serA)和cysE与谷胱甘肽双功能酶基因gshFas串联,三个蛋白(31,45,85 kDu)均在E.coli MG1655中成功表达(图6)。重组菌的生长测定发现,重组菌株4的生长速率要明显低于原始菌(图7)。
M—Low molecular weight protein Marker;1—E.coli MG1655; 2—E.coli MG1655/pTrc99a; 3—E.coli MG1655/pTrc99a-as-serA-cysE; 4—E.coli MG1655/pTrc99a-as-serAdr-cysE
图6 重组质粒E.coli MG1655/pTrc99a-as-serA-cysE的蛋白表达
Fig.6 SDS-PAGE analysis of proteins by strains with recombinant plasmids
图7 重组E.coli生长情况的测定
Fig.7 Growth of the recombinants strain E.coli
E.coli MG1655/pTrc99a-as -serA-cysE和E.coli MG1655/pTrc99a-as-serAdr-cysE的比生长速率为0.32 h-1和0.30 h-1,仅为原始菌的58%。可能因为表达质粒pTrc99a为高拷贝质粒,PGDH(PGDHdr)和SAT蛋白的表达量过多导致了细胞内需要消耗更多的前体和能量用于蛋白合成,增加了细胞的代谢负担,导致其生长减缓。对于过表达菌株来说平衡菌体生长和蛋白表达是增强前体合成途径的一个关键因素。
2.4 摇瓶培养合成谷胱甘肽
为了验证增强半胱氨酸合成途径对GSH产量的影响,将重组菌在含有5 g/L葡萄糖的2×LB培养基中培养和诱导,重组菌摇瓶发酵生产GSH的结果如图8所示,GSH的产量随着发酵时间的延长而逐渐增加,其中E.coli MG1655/pTrc99a-as-serAdr-cysE的初速率明显提高。在发酵8 h时E.coli MG1655/pTrc99a-as达到最高产量(0.62±0.03)mmol/L,而E.coli MG1655/pTrc99a-as-serA-cysE,E.coli MG1655/pTrc99a-as-serAdr-cysE中最终GSH产量都为(0.97±0.01)mmol/L,为原始菌的1.56倍。过表达半胱氨酸合成途径的关键基因,增强半胱氨酸的合成可以明显提高细胞合成GSH的能力,这是因为增加了前体的供应,而与GSH合成酶的串联表达使得更多的代谢流流向了GSH合成,GSH的产量进一步提高。在不添加前体的摇瓶发酵中达到了0.97 mmol/L的产量,有效降低了生产成本。同时也发现尽管serA基因经过定点突变后GSH合成的初速率明显加快,但最终的产量并没有增加,这可能是因为在不添加前体的摇瓶发酵时细胞内的L-丝氨酸积累并不多,对PGDH的抑制效果不明显。所以serA的定点突变没有显著提高GSH的产量。
图8 摇瓶发酵生产GSH过程曲线图
Fig.8 Fermentation production process of GSH in shake flask
3 结 论
本实验通过在 Escherichia coli MG1655中过表达3-磷酸甘油酸脱氢酶(PGDH)和丝氨酸酰基转移酶(SAT),并与谷胱甘肽双功能合成酶GshF串联表达,构建了半胱氨酸合成途径强化的重组菌株。经过酶活检测,过表达的PGDH以及SAT的酶活分别为308.68 U和 0.05 U;为了解除代谢途径中L-丝氨酸对PGDH的反馈抑制,对目的基因serA进行定点突变,PGDHdr的酶活检测为280.06 U,实验结果表明在不影响目的蛋白表达的情况下有效地解除了反馈抑制,并显著提高了GSH的产量;但是该表达重组菌株生长速率受限,仅为原始菌的58%,因此要进一步探究菌体生长以及蛋白表达的平衡。最终摇瓶发酵结果显示,在含有5 g/L葡萄糖的LB培养基中,GSH产量达到了0.97 mmol/L,为原始菌的1.56倍,表明增加 GSH前体半胱氨酸的供应能有效提高 GSH生物合成水平。
参考文献:
[1]LU S C.Glutathione synthesis[J].Biochimica et Biophysica Acta,2013,1830:3143-3153.
[2]FRATERNALE A,PAOLETTI M FA,CASABIANCA A,et al.GSH and analogs in antiviral therapy[J].Molecular Aspects of Medicine,2008,30(1-2):99-110.
[3]WEI G,LI Y,DU G,et al.Effect of surfactants on extracellular accumulation of glutathione by saccharomyces cerevisiae[J].Process Biochemistry,2003,38(8):1133-1138.
[4]YOSHIDA K,HARIKI T,INOUE H,et al.External Skin Preparation for Whitening:JP 2002284664[P].2002.
[5]WANG Miaomiao,SUN Jingfeng,XUE Feiyan,et,al.The effect of intracellular amino acids on GSH production by high-cell-density cultivation of saccharomyces cerevisiae[J].Appllied Biochemistry Biotechnology,2012,168(1):198-205.
[6]萨姆布鲁克J,曼尼阿蒂斯T.分子克隆实验指南[M].第2版.北京:科学出版社,1995.
[7]ZHAO G,WINKLER M E.A novel alpha-ketoglutarate reductase activity of the sera-encoded 3-phosphoglycerate dehydrogenase of escherichia coli K-12 and its possible implications for human 2-hydroxyglutaric aciduria[J].Journal of Bacteriology,1996,178(1):232-239.
[8]HINDSON V J.Serine acetyltransferase of escherichia coli:Substrate specificity and feedback control by cysteine[J].Biochemical Journal,2003,375(3):745-752.
[9]王德正,吴辉,李志敏,等.重组大肠杆菌发酵生产谷胱甘肽的氨基酸添加策略优化[J].生物技术通报,2015(9):197-203.
[10]LI Yu,CHEN Gukui,TONG Xinwei,et,al.Construction of escherichia coli strains producing L-serine from glucose[J].Biotechnology Letters,2012,34(8):1525-1530.
Effect of Strengthening the Cysteine Synthetic Pathway on Glutathione Biosynthesis in Escherichia coli
WAN Jun-xian, ZHANG Jing, WU Hui, LI Zhi-min
(State Key Laboratory of Bioreactor Engineering,East China University of Science and Technology,Shanghai 200237,China)
Abstract:Glutathione(GSH) is one of the thiol short peptides,which widely exists in cells.It attracts attention because of its important physiological activity.We strengthen the cysteine synthesis to improve the GSH synthesis inEscherichia coli.The key enzymes,3-glyceric acid phosphate dehydrogenase(PGDH) and serine acetyltransferase,were overexpressed in E.coli MG1655 and then the GSH synthetase gshFas was co-overexpressed with the two enzymes.The results of fermentation in the flasks with the recombinant strains showed that the growth was decreased in the recombinants and the production of GSH reached 0.97 mmol/L,which was 1.56 fold that of original.The level of GSH biosynthesis can be improved significantly by increasing the supply of precursor cysteine.
Key words:Glutathione;L-cysteine; tandem gene expression; shaking fermentation
文章编号:1006-3080(2017)01-0061-05
DOI:10.14135/j.cnki.1006-3080.2017.01.010
收稿日期:2016-05-11
基金项目:国家自然科学青年基金项目(21406065);上海市科委产学研医合作项目(13DZ1930200);生物反应器工程国家重点实验室开放课题资助项目(2060204)
作者简介:万俊仙(1992-),女,湖北人,硕士生,主要从事基因工程菌生产谷胱甘肽的研究。
通信联系人:李志敏,E-mail:lizm@ecust.edu.cn
中图分类号:TQ920.1;Q78
文献标志码:A










