糖尿病、高脂血症等糖脂代谢紊乱性疾病已成为威胁人类生活质量及经济社会发展的重大公共卫生问题seline; top: -0.5em; overflow-wrap: break-word; word-break: break-all;">[1]。胰高血糖素样肽1(glucagon-like peptide-1,GLP-1)是一种肠促胰岛素激素,在糖脂代谢的实时应答调节过程中发挥至关重要的作用seline; top: -0.5em; overflow-wrap: break-word; word-break: break-all;">[2]。但天然的GLP-1在体内不稳定,半衰期仅约2 min,临床可行性差seline; top: -0.5em; overflow-wrap: break-word; word-break: break-all;">[3]。利拉鲁肽(liraglutide)是将人GLP-1(7-37)第34位的Lys替换为Arg(K34R),同时在第26位Lys上引入一个由Glu介导的16碳棕榈酸侧链seline; top: -0.5em; overflow-wrap: break-word; word-break: break-all;">[4]。利拉鲁肽保留GLP-1的全部生物活性,不良反应显著减少,且体内半衰期可延长至13 hseline; top: -0.5em; overflow-wrap: break-word; word-break: break-all;">[5,6]。大量研究证实,利拉鲁肽不仅具有高效、持久的降糖效果,且可显著改善细胞功能,为2型糖尿病治疗带来福音seline; top: -0.5em; overflow-wrap: break-word; word-break: break-all;">[7,8]。但此药物价格相对较高,而迄今国内还没有利拉鲁肽生物类似药获批上市。笔者在本研究利用遗传背景清楚、成本低、易于产业化的大肠埃希菌表达系统seline; top: -0.5em; overflow-wrap: break-word; word-break: break-all;">[9],对GLP-1(7-37)K34R(简称GLP1a)的基因工程表达制备工艺进行探索研究。由于大肠埃希菌过量表达蛋白时常形成不可溶的包涵体seline; top: -0.5em; overflow-wrap: break-word; word-break: break-all;">[10],且GLP1a相对分子质量小(31个氨基酸),对基因工程表达及分离纯化都十分不利。为了提高目的蛋白的可溶性与及分离纯化效率,笔者在本研究将目的蛋白分别与谷胱甘肽转移酶(GST)、泛素(Ub)、小泛素相关修饰蛋白(SUMO)等3种不同标签蛋白进行融合,分析比较其可溶性表达效果seline; top: -0.5em; overflow-wrap: break-word; word-break: break-all;">[11]。优化表达工艺条件,最终通过十二烷基硫酸钠-聚丙烯酰胺凝胶电泳(sodium dodecyl sulfate polyacrylamide gel electrophoresis,SDS-PAGE)和高效液相色谱(HPLC)对所获目的蛋白进行分析确证。
大肠埃希菌(
质粒小提试剂盒(北京索莱宝科技有限公司,批号:20180610),BCA Protein Assay Kit(Thermo Scientific公司,批号:EE60997A),GLP-1(7-37)K34R标准品(正大天晴药业集团股份有限公司),限制性内切酶(Fermentas公司,批号:LT02241),T4 DNA连接酶(Thermo Scientific公司,批号:00353024),Pfu DNA聚合酶(批号:K21029)和dNTPs(批号:M10316)购自北京康为世纪生物科技公司,其他试剂均为国产分析纯,PCR引物和Ub基因合成以及序列测序均由金唯智生物科技有限公司(苏州)完成。
通过glp1a的氨基酸序列,按大肠埃希菌密码子偏爱性进行优化后获得编码基因序列,同时,为了后续纯化能切除融合标签,在glp1a基因前面肠激酶切割位点的编码DNA序列。文中所用引物序列见
Tab.1 Primer sequence
| 引物名称 | 引物序列 |
|---|---|
| P1/F | 5'-CCGCTCGAGAAAAGACACGCTGAGGGTACTTTCACTTCCGACGTTT- |
| CCTCC-3'(XhoI) | |
| P1/Z | 5'-GCGATGGACTCCTTAGCAGCTTGACCCTCCAAGTAGGAGGAAACGT- |
| CGGA-3' | |
| P1/R | 5'-CTAGTCTAGATTAACCTCTACCTCTAACCAACCAAGCGATGGACTC- |
| CTTA-3'(XbaⅠ) | |
| P6/F | 5'-GAGGGATCCGATGATGATGATAAACACGCTGAGGGTACTTTC-3' |
| (BamHⅠ) | |
| P6/R | 5'-ACGCGTCGACGGGAATTCTTATTAACCACGACCACGAACCAACC- |
| AAG -3'(SalⅠ) | |
| P7/F | 5'-CATGCCATGGGTCACCACCACCACCACCACATGTTCCCAAAATT- |
| AG -3' (NcoⅠ) | |
| P7/R | 5'-CGGAATTCTTATTA ACCACGACCACGAACCAAC-3' (EcoRⅠ) |
| P9/F | 5'-ACGGTCTCTAGGTGATGATGATGATAAACACGCT-3'(BsaⅠ) |
| P9/R | 5'-CCCAAGCTTTTATTAACCACGACCACGAACCAACC-3' (HindⅢ) |
引物中单下划线的为酶切位点,方框里为肠激酶酶切位点。
The underline of primer is restriction sites, the primer in box is restriction sites of enterokinase.
表1 引物序列
Tab.1 Primer sequence
将以上三个重组质粒分别转化至大肠埃希菌DH5α感受态,涂布于含有卡那霉素(50 μg·mL-1)的LB平板,培养12~16 h,分别挑取转化子进行菌落PCR验证,将正确的质粒送至测序公司,得到构建成功的重组质粒pGEX-6p-3-GLP1a、pET28a-Ub-GLP1a、pE-SUMO-GLP1a。
提取构建成功的重组表达质粒pGEX-6p-3-GLP1a、pET28a-Ub- GLP1a和pE-SUMO-GLP1a。分别转化
诱导完后,于4 ℃,10 000 r·min-1离心10 min,收集菌体,用磷酸盐缓冲液(PBS)洗涤菌体3次,超声破碎菌体。破碎后未离心的标记为全菌体;12 000 r·min-1(
为提高目的蛋白在大肠埃希菌表达系统中表达量,对关键因素进行优化,其中包括诱导温度、诱导时机、诱导剂浓度和诱导时间[12]。
1.5.1 诱导温度的优化 将上述构建成功的目的菌株按2%接种量于50 mL发酵培养基中(250 mL摇瓶),37 ℃,200 r·min-1培养至
1.5.2 诱导时机的优化 首先测定菌体在37 ℃培养时生长曲线,选择
1.5.3 诱导时间优化 用前面实验得到最佳优化温度和时机,加入终浓度为1 mmol·L-1的IPTG分别诱导4,6,8,10 h。
1.5.4 IPTG浓度优化 按照前面实验优化好的表达条件,分别加入0.2,0.4,0.6,1.0 mmol·L-1的IPTG进行诱导。
1.6.1 融合蛋白的纯化 超声裂解后的菌体,10 000 r·min-1(
1.6.2 高效液相色谱法分析 将酶切后回收蛋白利用高效液相色谱法分析。色谱条件:色谱柱:Jupiter Proteo 90A(4.6 mm×250 mm,4 μm)Phenomenex C12柱;流速:1.0 mL·min-1;柱温:35 ℃;进样体积:30 μL;检测波长:215 nm;流动相A:磷酸二氢铵11.5 g,乙腈100 mL,85%磷酸调pH值至3.7,超纯水定容至1 000 mL;流动相B:乙腈960 mL、水270 mL;精密称取标品0.001 0 g,超纯水定容至2 mL,超声波溶解制得0.5 mg·mL-1的供试品溶液。
采用 SPSS20.0 版统计软件进行统计学分析,计量资料以均数±标准差(
对GLP1a基因进行大肠埃希菌的密码子优化,构建3个表达载体质粒pGEX-6p-3-GLP1a、pET28a-Ub-GLP1a和pE-SUMO-GLP1a,见

A.pGEX-6p-3-GLP1a、pET28a-Ub-GLP1a、pE-SUMO-GLP1a质粒的示意图;B.M:marker;1.重组质粒采用
Fig.1 Construction of GLP1a expression plasmids
A.schematic diagram of pGEX-6p-3-GLP1a,pET28a-Ub-GLP1aand pE-SUMO-GLP1a plasmids;B.M:DNA marker;1.the recombinant plasmids were analyzed by
2.2 GLP1a不同融合蛋白的可溶性表达分析
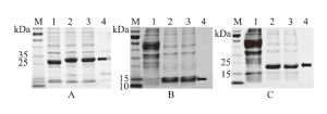
重组大肠埃希菌在25 ℃下,经IPTG诱导12 h,超声裂解菌体,将得到空载菌株超声裂解液、重组菌株超声裂解液全菌体、裂解液上清液、裂解液沉淀进行SDS-PAGE分析,结果见

图2 不同标签融合蛋白的表达
A.pGEX-6p-3-GLP1a;M.分子量标记;1.诱导pGEX-6p-3;2.诱导pGEX-6p-3-GLP1a;3.裂解后上清液;4.裂解后沉淀。B.pET28a-Ub-GLP1a;Lane M.分子量标记;1.诱导pET28a;2.诱导pET28a-Ub-GLP1a;3.裂解后上清液;4.裂解后沉淀。C.pE-SUMO-GLP1a;M.分子量标记;1.诱导 pE-SUMO;2.诱导pE-SUMO-GLP1a;3.裂解后上清液;4.裂解后沉淀。
Fig.2 expression of different tag fusion proteins
A.pGEX-6p-3-GLP1a;M.molecular weight marker;1.induced pGEX-6p-3;2.induced pGEX-6p-3-GLP1a;3.supernatant after cracking;4.precipitation after cracking.B.pET28a-Ub-GLP1a;M.molecular weight marker;1.induced pET28a;2.induced pet28a-ub-glp1a;3.supernatant after cracking;4.precipitation after cracking.C. pE-SUMO-GLP1a;M.molecular weight marker;1.induced pE-SUMO;2.induced pE-SUMO-GLP1a;3.supernatant after cracking;4.precipitation after cracking.
2.3 不同标签融合GLP1a的表达条件优化与比较
2.3.1

图3 GST-GLP1a融合蛋白表达条件的优化
①与
Fig.3 Optimization of GST-GLP1a fusion protein expression conditions
①Compared with
2.3.2

图4 Ub-GLP1a融合蛋白表达条件的优化
①与
Fig.4 Optimization of Ub-GLP1a fusion protein expression conditions
①Compared with
2.3.3

图5 SUMO-GLP1a融合蛋白表达条件的优化
①与
Fig.5 Optimization of SUMO-GLP1a fusion protein expression conditions
①Compared with
发酵条件经优化后,GST-GLP1a、Ub-GLP1a、SUMO-GLP1a融合蛋白产量从优化前44.8,59.3,53.5 mg·L-1增加到88,130,112 mg·L-1,通过比较三株菌融合蛋白表达量,发现
将

图6 Ub-GLP1a融合蛋白的分离纯化
A.镍亲和层析Ub-GLP1a融合蛋白;M.分子量标记;1~5.用10,50,100,300,500 mmol·L-1咪唑洗脱Ub-GLP1a的裂解液;6.Ub-GLP1a细胞裂解液上清液;B.肠激酶酶切融合蛋白,M.分子量标记;1~3.经肠激酶酶切后的融合蛋白;4~6.未经酶切的融合蛋白;7.GLP1a标准品。
Fig.6 Isolation and purification of Ub-GLP fusion protein
A.Ni affinity chromatography of Ub-GLP1a fusion protein.M.molecular weight marker;1-5:the lysate of Ub-GLP1a eluted with 10,50,100,300 and 500 mmol·L-1 imidazole,respectively;6.the supernatant of the Ub-GLP1a cell lysate.B:Enterokinase digestion of fusion proteins.M.molecular weight marker;1-3.fusion protein after enterokinase digestion;4-6.fusion protein without enzyme digestion;7.GLP1a standard.
由于融合蛋白再次过镍亲和层柱,目的蛋白小,且蛋白量少,SDS-PAGE分析不灵敏,所以将穿透液通过HPLC分析。结果见

图7 反相HPLC分析
A.标品;B.目的蛋白;1.GLP1a。
Fig.7 Reverse-phase HPLC analysis
A.protein standard;B.target protein;1.GLP1a.
利拉鲁肽原研药是通过酵母表达系统生产,但是利用酵母表达利拉鲁肽可能存在以下问题:酵母表达载体传代不稳定;分泌表达的产物会增加产物的抗原性,不利于治疗;酵母高密度发酵难度较大[14]。利用大肠埃希菌表达,有繁殖迅速、培养简单、操作方便和遗传稳定的优势。
本实验构建GST、Ub、SUMO 3种不同融合标签的大肠埃希菌表达载体。大量研究表明,菌体密度达到一定浓度后,目的蛋白表达量最高[15]。同时诱导温度过高菌体生长速率及代谢都较快,产酶速率也同时加快,导致蛋白来不及进一步折叠,而致使大量包涵体的形成;培养基中营养物质随着发酵时间的延长会逐渐被消耗,影响菌体的正常生长代谢,使其产酶能力下降并产生较多的副产物,而较短发酵时间不能完全生长达到产酶的高峰期[16];由于IPTG具有一定的毒害作用,当IPTG的浓度过高时会对细胞的生长产生毒害作用,使表达的产量降低[17]。最佳的诱导条件为:在
为了实现GLP1a的可溶性表达,本实验利用融合标签构建表达载体。GST标签是细菌表达系统中纯化蛋白较为成功的标签之一,可使蛋白正确折叠成有功能的区域[18]。Ub是由76个氨基酸组成的小分子蛋白质,可增强蛋白表达效率,并且简化蛋白纯化过程[19]。SUMO蛋白具有抗蛋白酶水解以及促进靶蛋白正确折叠、提高可溶性等功能[20]。不同的融合标签赋予外源性目的蛋白新的特性,促进目的蛋白的正确折叠和溶解[16]。通过实验,可以看出蛋白标签对蛋白的表达量以及包涵体的形成有显著影响。笔者在本文以大肠埃希菌为宿主,首次从不同蛋白标签对表达GLP1a蛋白的影响方面进行了研究,提高蛋白的表达量和可溶性。
| [1] | DOI:10.1007/s11427-019-1563-3 URL
[本文引用:1] |
| [2] | |
| [3] | |
| [4] | DOI:10.1038/nrendo.2016.86 URL
[本文引用:1] |
| [5] | DOI:10.1016/j.phrs.2018.03.004 URL
[本文引用:1] |
| [6] | DOI:10.2174/1573402114666180507152620 URL
[本文引用:1] |
| [7] | |
| [8] | DOI:10.1016/j.peptides.2017.10.011 URL
[本文引用:1] |
| [9] | |
| [10] | |
| [11] | DOI:10.1080/13102818.2016.1258330 URL
[本文引用:1] |
| [12] | |
| [13] | |
| [14] | |
| [15] | |
| [16] | |
| [17] | DOI:10.1111/lam.2018.67.issue-3 URL
[本文引用:1] |
| [18] | |
| [19] | DOI:10.2174/1389450117666151209114608 URL
[本文引用:1] |
| [20] |




