胶原蛋白是细胞外基质中含量最丰富的蛋白家族,发挥传递生长因子和细胞因子、维持组织结构完整性、影响细胞黏附和增殖等多种生物学功能[1]。胶原蛋白具有其他合成材料无法比拟的生物相容性、生物可降解性及可规模化生产等优点,目前已被广泛应用于生物材料、保健食品、化妆品及医药工业等领域[2,3]。
胶原蛋白及其衍生物市场需求量大,目前胶原蛋白的生产方法主要有传统提取法、化学合成法和现代生物技术生产法。研究所需的胶原蛋白一般提取自动物的皮肤和跟腱等组织,绝大多数以易于处理的牛腱、鼠尾腱为原料[4]。提取的动物胶原蛋白具有潜在的病毒隐患,易引发机体免疫反应[5,6],还存在提取工艺难度大、周期长、成本高、水溶性差等问题。Kotch和Raines [7]于2006年通过化学法合成了具有(Gly-X-Y)n胶原蛋白特征序列的多肽,该多肽可通过自组装成功形成三螺旋结构,但该法在批量制备和成本控制方面研究进展较为缓慢。利用基因工程技术进行重组胶原蛋白表达具有成本低、效率高等优点,且能通过菌种发酵技术获得产业化推广,受到越来越多研究者的关注[8]。重组人胶原蛋白是基于人胶原蛋白的特征和主要功能域重新优化设计基因序列,表达的目标蛋白具有与人胶原蛋白相似的结构特征。与传统提取法提取的动物胶原蛋白相比,重组人胶原蛋白具有产量高、批次稳定、亲水性强、生物相容性好、无免疫病毒风险等优点[9],是一种理想的生物医用材料。
重组人Ⅲ型胶原蛋白(recombinant human type Ⅲ collagen,rhCol)在医药、保健、营养等方面具有重要的应用价值,提高其产量将促进其发挥巨大的市场价值。Mirazul等[10]利用化学交联法将重组人胶原蛋白制成胶原基角膜替代物,该替代物具备良好的光学性能、力学性能及生物安全性,为角膜病致盲患者带来了重见光明的曙光。2017年李伟娜等[11]研究发现毕赤酵母高密度发酵表达的Ⅲ型类人胶原在胃黏膜修复方面具有显著功效。2019年刘彤等[12]探讨了rhCol水凝胶对猪全层皮肤缺损创面修复的影响,结果表明该胶原蛋白水凝胶可显著促进猪皮肤内的血管新生及创面愈合过程,并减轻瘢痕增生的产生。
目前已有多种表达体系用于重组人胶原蛋白的研究,如大肠杆菌、毕赤酵母[13]、昆虫细胞、转基因作物、转基因蚕[14]等。相比之下,毕赤酵母和大肠杆菌表达系统具有成本低、速度快、技术简便、可进行高密度发酵等优点,是工业化生产的首选方式。
本研究采用重组基因工程技术,在大肠杆菌中进行高密度发酵,将人Ⅲ型胶原蛋白和病毒来源的脯氨酰羟化酶基因共表达,经分离纯化成功获得了羟基化的rhCol;同时采用了盐析-透析法和盐析-柱层析结合法两种纯化工艺,所得rhCol的纯度分别满足化妆品及医药级原料的要求;还对rhCol的羟脯氨酸含量进行了测定,并对其细胞相容性进行了评价。本研究提出的工艺相对简便,蛋白结构稳定可靠,为rhCol的后续开发生产奠定了基础。
rhCol发酵液(笔者所在实验室生产),层析柱[利穂科技(苏州)有限公司],填料Ni-IDA(苏州纳微科技股份有限公司),填料G-25[博格隆(上海)生物技术有限公司],His标签小鼠单克隆抗体(6×His)、辣根过氧化物酶标记的亲和纯化山羊抗小鼠IgG(H+L)(美国Proteintech Group公司),二喹啉甲酸蛋白浓度测定试剂盒(上海碧云天生物技术有限公司),其他试剂均为分析纯。
ClearFirst-2000蛋白纯化系统(上海闪谱生物科技有限公司),Scientz-150高压均质机(宁波新芝生物科技股份有限公司),GRJD-5D-2双联不锈钢发酵系统(镇江格瑞生物工程有限公司),CL8R高速冷冻离心机(湖南湘仪实验室仪器开发有限公司),BSA124S电子天平[赛多利斯科学仪器(北京)有限公司],FiveEasy Plus FE28 pH计(瑞士Mettler-Toledo公司),DDS-307雷磁电导率仪(上海仪电科学仪器股份有限公司),Mini-PROTEAN Tetra小型垂直电泳系统(美国Bio-Rad公司),GelView 6000Pro全自动化学发光成像系统(广州博鹭腾生物科技有限公司)。
LB培养基:胰蛋白胨10.0 g/L,酵母提取物5.0 g/L,NaCl 10.0 g/L。
发酵培养基:胰蛋白胨15.0 g/L,酵母提取物7.5 g/L,Na2HPO4·12H2O 17.9 g/L,KH2PO4 6.8 g/L,(NH4)2SO4 4.0 g/L,MgSO4·7H2O 1.0 g/L,葡萄糖5.0 g/L,丙三醇12.0 g/L,pH7.0。
补料培养基:丙三醇500 g/L。
依据人Ⅲ型胶原蛋白氨基酸序列和巨型病毒4-脯氨酰羟化酶氨基酸序列反向设计基因序列,进行密码子优化,得到人Ⅲ型胶原蛋白的编码基因序列和羟化酶Hy726基因序列。根据优化的基因序列进行基因序列的全基因合成,构建了重组质粒pET30a(+)-1880和pACYCDuet-hy726。将双质粒通过热激法同时转化入BL21(DE3)感受态细胞,筛选获得重组基因工程菌pET30a(+)-1880/pACYCDuet-hy726/BL21(DE3),稳定共表达rhCol和脯氨酰羟化酶。
将重组工程菌接入LB培养基中,37 ℃培养过夜,第2天以10%的接种量转接至5 L发酵罐培养基中。利用5 L发酵罐进行rhCol的高密度发酵表达,发酵条件为:pH7.4,溶解氧> 20%,37 ℃,700 r/min。待菌体湿重达20%时,使用终浓度为0.5 mmol/L的异丙基-β-D-硫代半乳糖苷于25 ℃诱导菌种进行目的蛋白的表达。分别于诱导后4、8、12、15 h取适量发酵液超声破碎,对裂解完成的菌体进行蛋白样品的制备,完成十二烷基硫酸钠-聚丙烯酰胺凝胶电泳(sodium dodecyl sulfate-polyacrylamide gel electrophoresis, SDS-PAGE)分析及蛋白质印迹表达鉴定。诱导表达15 h后放罐,离心收集菌体,记录菌体湿重后于-80 ℃冻存。
取冻存菌体,按质量体积比1∶10加入磷酸缓冲液重悬,混匀,设置强度1 000 Bar均质3次。将高压均质后的细胞破碎液12 000× g离心20 min,取上清。边搅拌边缓慢加入质量浓度为200 g/L的硫酸铵至上清中,室温放置10 min,12 000× g离心20 min,分别收集上清及沉淀,进行SDS-PAGE。
取200 g/L硫酸铵盐析沉淀,按原体积的20%加双蒸水复溶。然后用磷酸调pH值至2.5,离心取上清。将上清转入14 ku的透析袋内,以双蒸水作为交换液,4 ℃透析,每8小时更换1次双蒸水,透析72 h。透析过程中监测透出液的电导率和pH改变情况,透析完成后进行冷冻干燥。
取(三)中透析前的上清,加1 mol/L NaOH溶液调pH值至8.5,经0.22 μm微孔滤膜过滤,使用Ni-IDA层析柱通过线性洗脱方式进行亲和层析(平衡液:20 mmol/L磷酸缓冲液,0.3 mol/L NaCl,pH8.5;洗脱液:20 mmol/L磷酸缓冲液,0.2 mol/L咪唑,0.1 mol/L NaCl,pH8.5),收集洗脱液。洗脱液经分子筛凝胶G-25脱盐后冷冻干燥。
分别将采用(三)、(四)方法纯化获得的蛋白样品溶液于无菌条件下经0.22 μm微孔滤膜过滤除菌,分装至10 ml的无菌西林瓶中,真空冷冻干燥36 h,即得rhCol冻干品。
分别取适量rhCol冻干品,加入双蒸水配制成1、100 mg/ml的水溶液,观察并记录rhCol的溶解速度、溶液颜色和状态。
取适量rhCol冻干品,加入双蒸水溶解配制成1 mg/ml的溶液,进行SDS-PAGE。采用全自动化学发光成像系统进行凝胶成像,BioAnaly软件对目的蛋白及杂蛋白条带进行灰度分析,计算目的蛋白的纯度。
羟脯氨酸是胶原蛋白特有的一种氨基酸,是胶原组织的主要成分之一,约占胶原蛋白氨基酸含量的9%~13%[15]。水解后可通过测定产生的羟脯氨酸含量进而求得胶原蛋白的含量。羟脯氨酸含量测定按照文献[16]进行。
采用全自动蛋白质多肽测序仪对rhCol的N端序列15个氨基酸进行分析。
采用噻唑蓝法检测不同质量浓度的rhCol对小鼠成纤维细胞L929增殖的作用。取rhCol冻干品,以含血清的MEM培养基为溶剂配制成0.1、1.0、5.0、10.0 mg/ml质量浓度梯度的样品,并用0.22 μm微孔滤膜过滤除菌得到4组实验液。然后按文献[17]测定各实验组的细胞相对增殖率。
采用SPSS25.0统计学软件处理数据,符合正态分布的计量资料以均值±标准差(Mean±SD)表示,两组间数据比较采用t检验,以P<0.05为差异具有统计学意义。
发酵过程中分别于诱导前和诱导后4、8、12、15 h取适量发酵液超声破碎,对发酵菌体进行SDS-PAGE及蛋白质印迹表达鉴定。结果如图1所示,在发酵诱导后4、8、12、15 h的工程菌细胞破碎液中均检测到了目的蛋白的表达,其相对分子质量约为70 ku;经蛋白质印迹法鉴定,70 ku处的蛋白条带即为rhCol。

由图2可知,将发酵菌体高压均质破碎液用硫酸铵盐析,当硫酸铵质量浓度为200 g/L时即能使目的蛋白沉淀出来,同时去除一部分杂蛋白,达到粗分离和浓缩的目的。盐析沉淀用水复溶后加磷酸调pH值至2.5,可去除大部分杂蛋白,相对分子质量大于70 ku的杂蛋白基本被去除干净,存在少量低相对分子质量的杂蛋白。最后结合透析工艺,获得了纯度大于85%的rhCol,可作为化妆品级原料。

图3为盐析粗纯样品过Ni-NTA亲和层析柱后的SDS-PAGE结果,rhCol样品纯度达95%以上。亲和层析洗脱液经分子筛凝胶G-25脱盐处理、冷冻干燥,即可获得纯品,可作为医药级原料用于组织工程材料、医用敷料等产品的开发。

图4A所示为rhCol冻干品,为白色柔软的多孔海绵状样品,水溶性良好,遇水可迅速溶解。当rhCol的质量浓度为1 mg/ml时,溶液无色透明澄清(图4B);当rhCol的质量浓度达100 mg/ml时,溶液于4 ℃放置4 h后呈凝胶态(图4C),这可能是由于在低温下胶原纤维发生了自组装。

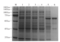
图5为rhCol的SDS-PAGE结果,由目的蛋白及杂蛋白条带灰度分析结果得到rhCol蛋白纯度在95%以上。

本研究分别测定了牛跟腱中提取的Ⅰ型天然胶原蛋白、rhCol和某市售重组胶原蛋白3种样品中的羟脯氨酸含量。结果显示rhCol中的羟脯氨酸含量约11.44%,与Ⅰ型天然胶原蛋白中的羟脯氨酸含量(9.92%)较为接近,而某市售重组胶原样品中不含羟脯氨酸。
重组胶原蛋白的N端氨基酸序列直接影响其整体的生物学功能。为进一步确认rhCol为预期优化设计的基因序列所表达的目的蛋白,本研究对rhCol的N端氨基酸序列进行了测定,结果如下:NH2-Met-Tyr-Asp-Ser-Tyr-Asp-Val-Lys-Ser-Gly-Val-Ala-Val-Gly-Gly,这与预期设计的蛋白N端序列相同。
噻唑蓝实验结果见表1,阴性对照组及样品组的L929细胞均生长良好;0.1~5.0 mg/ml的rhCol溶液均无细胞毒性,且显示出促细胞增殖的活性;而10.0 mg/ml的rhCol溶液对L929细胞增殖具有微弱抑制作用,这可能是由于在此质量浓度下样品的渗透压已超过细胞的正常渗透压,从而影响了细胞的正常生长[18]。综上所述,rhCol无明显细胞毒性,具有良好的细胞相容性,是一种优良的生物活性材料。

rhCol样品与L929细胞作用24 h后的细胞相对增殖率
本研究成功构建了重组基因工程菌pET30a(+)-1880/pACYCDuet-hy726/BL21(DE3),稳定共表达rhCol和脯氨酰羟化酶,通过高密度发酵和蛋白纯化技术获得羟基化的rhCol。本研究发酵得到的最终菌体湿重约为200 g/L,将收集的菌体高压均质破碎,取细胞破碎上清液,以200 g/L硫酸铵盐析和调酸处理,进行初步分离。然后通过透析法脱盐、脱酸,获得rhCol,其纯度大于85%,可用于食品和化妆品行业;而结合盐析-柱层析法纯化获得的rhCol,其纯度大于95%,可作为医药级原料用于组织工程材料、医用敷料等产品的开发。
本研究结果还显示,通过基因工程技术获得的rhCol的羟脯氨酸含量与天然胶原蛋白接近,其水溶性及细胞相容性良好,可作为一种优良的生物材料用于医药领域,为重组人胶原蛋白在组织工程材料、医用敷料、皮肤护理等方向的广泛应用奠定基础。












